داء منقول جنسيا

(تم التحويل من عدوى منقولة جنسيا)
داء منقول جنسيا
Sexually transmitted disease

تصنيفات ومصادر خارجية
SheMayLookCleanBut.jpg
U.S. propaganda poster targeted at الحرب العالمية الثانية soldiers and sailors appealed to their patriotism in urging them to protect themselves. The text at the bottom of the poster reads, "You can't beat the Axis if you get VD." Images of women were used to catch the eye on many VD posters.
ICD-10 A64.
ICD-9 099.9
DiseasesDB 27130
MeSH D012749

داء منقول جنسيا (STD)sexually transmitted disease، ويعرف أيضا باسم العدوى المنقولة جنسيا (STI) أو الأمراض الجنسية (VD)، هو هي أمراض المنقولة غالباً عن طريق ممارسة الجنس بأسلوب ما، عادةً الجنس المهبلي، والفموي والشرجي. وسوائل الجسم هي السوائل التي تنقل أغلب أنواع العداوى، كالسائل المنوي.

هذه الأمراض متعددة ومتنوعة قد تصيب الجهاز التناسلي وما جاوره أو تظهر لها أعراض ومضاعفات أخرى بعيدة عن المنطقة التناسلية.

كما أن هذه الأمراض قد تنتقل جراثيمها عن طريق الدورة الدموية إلى أماكن أخرى من جسم المصاب نفسه أو إلى الجنين، كما هو الحال في مرض الزهري ومرض الهربس بالحوامل أو عن طريق الجهاز اللمفاوي، وفي هذه الحالات تؤدي إلى مضاعفات خطيرة وتشوهات أو عاهات وأحيانا إلى الوفاة.


الأمراض الأساسية


جرثومية

فطرية

فيروسية

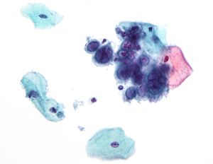
Micrograph showing the viral cytopathic effect of herpes (ground glass nuclear inclusions, multi-nucleation). Pap test. Pap stain.

طفيلية

أولية

Pathophysiology

الانتشار

خلصت دراسة أمريكية أجرتها المراكز الفدرالية لمراقبة الأمراض والوقاية إلى أن فتاة من بين أربع في الولايات المتحدة مصابة بأحد الأمراض التي تنتقل عبر ممارسة الجنس، اكتشفت الدراسة أن معدلات الإصابة بهذا الصنف من الأمراض المعدية مرتفعة بشكل خاص لدى الفتيات السود. قدرت الدراسة بحوالي خمسين في المائة نسبة الفتيات السود المصابات بأحد الأمراض المعدية جنسيا، بينما تناهز هذه النسبة 20 في المائة لدى الفتيات البيض والأمريكيات من أصول مكسيكية. وجدت الدراسة أن الفيروس المتسبب في سرطان الرحم (HPV) هو الأكثر انتشارا؛ إذ عثر عليه لدى 18 في المائة من الفتيات اللائي خضعن للدراسة [6]

الوقاية

San Francisco City Clinic an municipal STD testing center in San Francisco.

الجنس الآمن، هو ممارسة النشاط الجنسي بطريقة تقلل من مخاطر الإصابة بالأمراض المنقولة جنسيا، وقد ظهر هذا المصطلح في الثمانينات كنتيجة لإنتشار مرض الإيدز.

الممارسات الجنسية الآمنة أصبحت أكثر بروزا في أواخر 1980 نتيجة وباء الإيدز. التشجيع على ممارسة الجنس الآمن الآن الهدف الرئيسي من التثقيف الجنسي. من وجهة نظر المجتمع ، الجنس الآمن يمكن اعتباره استراتيجية للحد من الضرر. هدف الجنس الآمن والتعليم والحد من المخاطر.


اللقاحات

الواقي الذكري

Nonoxynol-9

التشخيص

العلاج

علم الأوبئة

Age-standardized, disability-adjusted life years for STDs (excluding HIV) per 100,000 inhabitants in 2004.[7]
  no data
  < 60
  60-120
  120-180
  180-240
  240-300
  300-360
  360-420
  420-480
  480-540
  540-600
  600-1000
  > 1000

التاريخ

المصادر

  1. ^ Aridoğan IA, Ateş A, Izol V, Ilkit M (2005). "Tinea cruris in routine urology practice". Urol. Int. 74 (4): 346–8. doi:10.1159/000084436. PMID 15897702.{{cite journal}}: CS1 maint: multiple names: authors list (link)
  2. ^ Workowski K, Berman S (2006). "Sexually transmitted diseases treatment guidelines, 2006" (PDF). MMWR Recomm Rep. 55 (RR-11): 1–94. PMID 16888612.
  3. ^ Wu J, Chen C, Sheen I, Lee S, Tzeng H, Choo K (1995). "Evidence of transmission of hepatitis D virus to spouses from sequence analysis of the viral genome". Hepatology. 22 (6): 1656–60. PMID 7489970.{{cite journal}}: CS1 maint: multiple names: authors list (link)
  4. ^ Farci P (2003). "Delta hepatitis: an update". J Hepatol. 39 (Suppl 1): S212–9. doi:10.1016/S0168-8278(03)00331-3. PMID 14708706.
  5. ^ Shukla N, Poles M (2004). "Hepatitis B virus infection: co-infection with hepatitis C virus, hepatitis D virus, and human immunodeficiency virus". Clin Liver Dis. 8 (2): 445–60, viii. doi:10.1016/j.cld.2004.02.005. PMID 15481349.
  6. ^ الأمراض الجنسية مستشرية بين الفتيات الأمريكيات، بي بي سي
  7. ^ "WHO Disease and injury country estimates". World Health Organization. 2004. Retrieved Nov. 11, 2009. {{cite web}}: Check date values in: |accessdate= (help)

وصلات خارجية

الكلمات الدالة: