سرطان الغدة الدرقية

سرطان الغدة الدرقية
Thyroid cancer
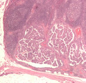
Thyroid papillary carcinoma histopathology (4).jpg
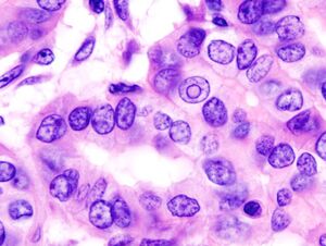
صورة مجهرية (عرض عالي الطاقة) من حليمي سرطان الغدة الدرقية مما يدل على ملامح التشخيص (المقاصة النووية ونوى المتداخلة). صبغة الهيماتوكسيلين والأيوزين.
التخصصعلم الأورام
الأعراضانتفاخ أو تورم في العنق[1]
عوامل الخطرالتعرض للإشعاع، تضخم الغدة الدرقية، التاريخ العائلي[1][2]
الطريقة التشخيصيةالموجات فوق الصوتية، خزعة بالإبرة[1]
التشخيص المفاضلالعقيدة الدرقية، المرض الانبثاثي[1][3]
العلاجالجراحة، العلاج الإشعاعي، العلاج الكيماوي، هرمونات الغدة الدرقية، العلاج الموجه، الانتظار اليقظ[1]
Prognosisمعدلات البقاء لخمس سنوات 98% (الولايات المتحدة)[4]
التردد3.2 مليون (2015)[5]
الوفيات31.900 (2015)[6]

سرطان الغدة الدرقية، هو سرطان يتطور من أنسجة الغدة الدرقية.[1] وهو مرض تنمو فيه الخلايا بطريقة غير طبيعية مع احتمالية انتشارها إلى مناطق أخرى في الجسم.[7][8] قد تشمل الأعراض انتفاخ أو تورم في العنق.[1] قد يحدث السرطان أيضاً في الغدة الدرقية بعد انتشاره من أماكن أخرى، وفي هذه الحالة لا يُصنف كسرطان غدة درقية.[3]

تشمل عوامل الخطر التعرض للإشعاع في سن صغيرة، تضخم الغدة الدرقية، ووجود تاريخ عائلي للإصابة بالمرض.[1][2] هناك أربع أنواع رئيسية لسرطان الغدة الدرقية، وهي؛ سرطان الغدة الدرقية الحليمي papillary thyroid cancer، سرطان الغدة الدرقية الجريبي follicular thyroid cancer، سرطان الغدة الدرقية اللبي medullary thyroid cancer، وسرطان الغدة الدرقية الكشمي anaplastic thyroid cancer.[3] عادة ما يعتمد التشخيص على الأشعة فوق الصوتية والخزعة بالإبرة.[1] حتى 2017، لا يوصى بعمل الفحوصات التشخيصية السابقة للأشخاص الذين لم تظهر عليهم أعراض وذوي معامل الخطر الطبيعي للمرض.[9]

قد تتضمن خيارات العلاج الجراحة، العلاج الإشعاعي ويشمل اليود الإشعاعي، العلاج الكيميائي، هرمونات الغدة الدرقية، العلاج الموجه، والانتظار اليقظ.[1] قد تتضمن الجراحة إزالة جزء من الغدة الدرقية أو إزالتها بالكامل.[3] معدلات البقاء لخمس سنوات هي 98% في الولايات المتحدة.[4]

عالمياً في 2015، كان هناك 3.2 مليون شخص مصاب بسرطان الغدة الدرقية.[5] في 2012، وقعت 298.000 حالة جديدة.[10] من الشائع الإصابة بالمرض ما بين 35 و65 عام.[4] النساء أكثر تأثراً من الرجال.[4] كذلك فإن الأشخاص من أصل آسيوي هم أكثر إصابة بالمرض.[3] تزايدت معدلات الإصابة بسرطان الغدة الدرقية في العقود القليلة الماضية ويعتقد أن السبب في ذلك هو وجود وسائل أفضل لإكتشاف المرض.[10] في 2015، تسبب سرطان الغدة الدرقية في وفاة 31.900 شخص.[6]

العلامات والأعراض

تكون العقيدات في منطقة الغدة الدرقية في الرقبة في معظم الأحيان هي الأعراض الأولى لسرطان الغدة الدرقية.[11] مع ذلك، لدى الكثير من البالغين عقيدات صغيرة في الغدد الدرقية ولكن وجد أن أقل من 5٪ من هذه العقيدات تكون سرطانية. توسع العقدة الليمفاوية في بعض الأحيان يكون هو العلامة الأولى. الأعراض التي من الممكن تواجدها في وقت لاحق هي ألم في المنطقة الأمامية من الرقبة والتغيرات في الصوت بسبب تورط العصب الحنجري الراجع.

عادة ما يتم العثور على سرطان الغدة الدرقية لدى مريض السوي الدرقية، ولكن قد تترافق أعراض فرط نشاط الغدة الدرقية أو قصور الدرقية مع وجود ورم متمايز كبير.

تثير العقيدات الدرقية القلق بشكل خاص عند تواجدها في من هم دون سن ال 20. حيث أن تكون العقيدات حميدة في هذا العصر هو أقل احتمالا، وبالتالي إمكانية الخباثة هي أكبر بكثير.


الأسباب

يعتقد وجود صلة بين سرطانات الغدة الدرقية وعدد من العوامل من البيئية والوراثية التي تجعل حدوثه ممكنا، ولكن لا يزال عدم اليقين بشأن أسبابه.

يلعب التعرض لليود المشع عن طريق مصادر طبيعية أو مصادر اصطناعية دورا هاما، وهناك معدلات زيادة كبيرة من سرطان الغدة الدرقية في أولئك الذين يتعرضون للإشعاع لسرطان الغدد الليمفاوية، وأولئك الذين يتعرضون لليود المشع 131 في أعقاب كارثة تشيرنوبيل.[12] يؤهب التهاب الغدة الدرقية وأمراض الغدة الدرقية الأخرى أيضا لسرطان الغدة الدرقية.[13]

تشمل أسباب وراثية متعددة تكون الورم الصماوي المتعدد النوع 2 مما يزيد بشكل ملحوظ معدلات هذا المرض، ولا سيما النوع النادر لهذا المرض.[14]


التشخيص

يعتقد وجود صلة بين سرطانات الغدة الدرقية وعدد من العوامل من البيئية والوراثية التي تجعل حدوثه ممكنا، ولكن لا يزال عدم اليقين بشأن أسبابه.

يلعب التعرض لليود المشع عن طريق مصادر طبيعية أو مصادر اصطناعية دورا هاما، وهناك معدلات زيادة كبيرة من سرطان الغدة الدرقية في أولئك الذين يتعرضون للإشعاع لسرطان الغدد الليمفاوية، وأولئك الذين يتعرضون لليود المشع 131 في أعقاب كارثة تشيرنوبيل.[15] يؤهب التهاب الغدة الدرقية وأمراض الغدة الدرقية الأخرى أيضا لسرطان الغدة الدرقية.[16]

تشمل أسباب وراثية متعددة تكون الورم الصماوي المتعدد النوع 2 مما يزيد بشكل ملحوظ معدلات هذا المرض، ولا سيما النوع النادر لهذا المرض.[17]

التصنيف

بعد العثور على العقيدات الدرقية من خلال الفحص البدني، قد تحدث الإحالة إلى طبيب مختص في الغدد الصماء أو طبيب مختص في الغدة الدرقية. يتم إجراء فحص بالموجات فوق الصوتية لتأكيد وجود العقيدات وتقييم حالة الغدة بأكملها. يساعد قياس هرمون تنشيط الغدة الدرقية والغدة الدرقية لمكافحة الأجسام المضادة على تقرير ما إذا كان هناك أمراض الغدة الدرقية وظيفية مثل التهاب الغدة الدرقية لهاشيموتو، وهو سبب معروف لتضخم الغدة الدرقية العقدي حميدة.[18] قياس الكالسيتونين هو ضروري لاستبعاد وجود سرطان الغدة الدرقية النخاعي. وأخيرا، لتحقيق التشخيص النهائي قبل اتخاذ قرار بشأن العلاج، وعادة ما يتم أداء خزعة بالإبرة تبعا لنظام بيثيسدا للإبلاغ عن أمراض خلايا الغدة الدرقية.


وينقسم سرطان الغدة الدرقية إلى الأنواع التالية:


سرطان الدرقية الحليمي

يصيب السيدات اكثر من الرجال وتمثل السيدات 62-81% من المصابين من سن 20 عام والذروة في العقد الرابع من العمر

ينتشر اكثر عن طريق الغدد الليمفاوية وعكس كل الاورام السرطانية الاخرى انتشاره الى الغدد الليمفاوية لا يعنى ضعف الفرصه في الشفاء النهائى ولكن يجب استئصال الغدد الليمفاوية المتضخمة جراحيا سواء ظهرت مع المرض او في صورة ثانويات متأخرة بعد علاجه (ارتجاع) ولا يمكن الاعتماد على اليود المشع فقط

وينتشر ايضا الى الرئة خصوصا في اورام الاطفال ويمكن شفاؤها باليود المشع لو كانت من النوع المتعدد الصغيرMicronodular الذى لا يظهر في الاشعة العادية ولكن يظهر في الاشعة المقطعية

وفى هذه الحالة يحتاج يود مشع - اما ثانويات الرئة الوحيدة الكبيرة فيمكن استئصالها جراحيا -

والانواع المتعددة الكبيرة لا يمكن شفاؤها نهائيا ولكن يمكن السيطرة عليها بالعلاج باليود المشع المتكرر

العظام اقل شيوعا من الرئة وقد يمكن استئصال ورم وحيد والشفاء منه مثل وجود في ضلع - المتعدد والتى لايمكن استئصاله يستدعى العلاج باليود المشع المتكرر

والمخ بنسة اقل ويحمل نتائج سيئة وينصح بعلاجه باليود المشع واستعمال الهرمون المحفز للغدة المخلق صناعيا (المكلف جدا)

حيث ان توقف هرمون الثيروكسين وخمول الغدة يزيد نشاط هذا النوع

الصورة الاكلينيكية

  • ورم صغير او عقيدة وحيدة - داخل الغدة
  • غير مؤلم واحيانا تظهر مع غدد ليمفاوية في الرقبة
  • ويكون متعدد البؤر داخل الغدة الغدة لذلك لا يمكن استئصال الورم فقط
  • بالمقارنة بالاورام الخبيثة الاخرى يعتبر من افضلهم من حيث فرصة الشفاء التام مع العلاج السليم

العلامات التى تشير الى صعوبة علاج هذا النوع

  • السن اكبر من 40 سنة
  • الورم اكبر من واحد ونصف سم
  • انتشاره بالانسجة المحيطة بالغدة ويتطلب استئصال الغدد الليمفاوية والانسجة المحيطة المصابة واستكشاف الرقبة بالكامل في ناحية الورم
  • الانتشار البعيد - الرئة - العظام
  • الرجال لهم نتائج اسوأ من السيدات لان الورم ينتشر اسرع في الرجال


سرطان الدرقية الجريبي

تحدث في اى سن ولكن الذروة في العقد الخامس وفى النساء اكثر شيوعا من الرجال حيث ان 60% من الحالات سيدات

وتحدث في المناطق التى تعانى من نقص اليود وقد قلت الحالات بعد إضافة اليود الى ملح الطعام في معظم بلاد العالم المتقدم

الصورة الاكلينيكية

  • ورم او عقيدة وحيدة ولكن عكس النوع الاول قد يظهر في صورة بؤرة بعيدة في الرئة او العظام قبل ان يظهرفى الغدة
  • وهذا الورم يكون وحيد البؤرة في 90% من الحالات و10% من الحالات يكون متعدد البؤر داخل الغدة

العلاج

  • الاستئصال الكامل للغدة الدرقية جراحيا وكل الانسجة المنتشر بها المرض- مع استكشاف الرقبة واستئصال مجموعات الغدد الليمفاوية في بعض الحالات
  • تدمير اى خلايا سرطانية منتشرة في اى بؤرة بعيدة في الجسم باليود المشع العلاجى الذى يؤخذ في صورة سائل شفاف مثل الماء بدون طعم يشرب عن طريق الفم في مراكز متخصصة- ويبقى المريض ذو نشاط اشعاعى لمدة 3 ايام على الاقل ويجب عدم مخالطة احد خصوصا الاطفال والحوامل لمدة اسبوع.


سرطان الدرقية اللبي

وهو أخطر من الأنواع السابقة وأقل شيوعا، ويحتاج جراحة اصعب بكثير من الانواع الاخرى

ينشأ من خلايا خاصة (الخلايا ج) C وهى الخلايا المسئولة عن إفراز هرمون الكالسيتونين وهو من الهرمونات المنظمة لعنصر الكالسيوم بالدم-

و25% من هذه الأورام يكون عائليا ينتشر في العائلة و75% يكون غير عائلى


مراحل تقدم المرض

انتشار المرض

يمكن الكشف عن أي انتشار لسرطان الغدة الدرقية عن طريق تصوير ومضي للجسم باستخدام اليود المشع 131.[22][23]

العلاج

ازالة الغدة الدرقية ومنطقة الرقبة المركزية عن طرق الجراحة هي الخطوة الأولى في علاج سرطان الغدة الدرقية في معظم الحالات.[11] يمكن تطبيق عملية الحفاظ على الغدة الدرقية في بعض الحالات، عندما يكون السرطان أقل عدوانية (السرطان المتمايز، عدم وجود دليل على انتشار العقد الليمفاوية، أي تعديلات جينية كبيرة، وطفرات البروتين p53 الخ) في المرضى الذين تقل أعمارهم عن 45 عاما.[24] يجب إجراء عملية إذا ثبت أن التشخيص سرطان الغدة الدرقية متمايز (مثل سرطان الغدة الدرقية الحليمي) أو في حالة الإشتباه يتم إجراء خزعة بالإبرة للتأكد، في حين لا ينصح باستراتيجية الانتظار الساهرة في أي المبادئ التوجيهية القائمة على الأدلة.[24][25] الانتظار اليقظ يقلل من التشخيص المبالغ فيه أو العنياة الطبية الغير متطلبة لمرضى سرطان الغدة الدرقية القدام.[26] يستخدم اليود المشع 131 في المرضى الذين يعانون من سرطان الغدة الدرقية حليمي أو الجريبي على أنسجة الغدة الدرقية المتبقية بعد الجراحة وعلاج سرطان الغدة الدرقية. المرضى الذين يعانون من سرطان الغدة الدرقية النخاعي، سرطان الغدة الدرقية الكشمي، لا يستفيدون من هذا العلاج.[11]


التنبؤ بالمرض

يرتبط التنبؤ بسرطان الغدة الدرقية بنوع السرطان ومرحلة تقدمه عند التشخيص.

 
نوع سرطان الدرقية
البقاء لخمس سنوات البقاء لعشر سنوات
المرحلة 1 المرحلة 2 المرحلة 3 المرحلة 4 الإجمالي الإجمالي
الحليمي 100%[27] 100%[27] 93%[27] 51%[27] 96%[28] or 97%[29] 93%[28]
الجريبي 100%[27] 100%[27] 71%[27] 50%[27] 91%[28] 85%[28]
اللبي 100%[27] 98%[27] 81%[27] 28%[27] 80%,[28] 83%[30] or 86%[31] 75%[28]
الكشمي (عادة المرحلة 4)[27] 7%[27] 7%[27] or 14%[28] (لا توجد بيانات)

علم الأوبئة

حالات شهيرة

المصادر

  1. ^ أ ب ت ث ج ح خ د ذ ر "Thyroid Cancer Treatment". National Cancer Institute (in الإنجليزية). 27 أبريل 2017. Archived from the original on 15 يوليو 2017. Retrieved 18 يوليو 2017. {{cite web}}: Unknown parameter |deadurl= ignored (|url-status= suggested) (help)
  2. ^ أ ب Carling, T.; Udelsman, R. (2014). "Thyroid Cancer". Annual Review of Medicine. 65: 125–37. doi:10.1146/annurev-med-061512-105739. PMID 24274180.
  3. ^ أ ب ت ث ج ح "Thyroid Cancer Treatment". National Cancer Institute (in الإنجليزية). 12 مايو 2017. Archived from the original on 16 يوليو 2017. Retrieved 18 يوليو 2017. {{cite web}}: Unknown parameter |deadurl= ignored (|url-status= suggested) (help)
  4. ^ أ ب ت ث "Cancer of the Thyroid - Cancer Stat Facts". seer.cancer.gov (in الإنجليزية). Archived from the original on 15 يوليو 2017. Retrieved 18 يوليو 2017. {{cite web}}: Unknown parameter |deadurl= ignored (|url-status= suggested) (help)
  5. ^ أ ب GBD 2015 Disease and Injury Incidence and Prevalence, Collaborators. (8 October 2016). "Global, regional, and national incidence, prevalence, and years lived with disability for 310 diseases and injuries, 1990-2015: a systematic analysis for the Global Burden of Disease Study 2015". Lancet. 388 (10053): 1545–1602. doi:10.1016/S0140-6736(16)31678-6. PMC 5055577. PMID 27733282. {{cite journal}}: |first1= has generic name (help)CS1 maint: numeric names: authors list (link)
  6. ^ أ ب GBD 2015 Mortality and Causes of Death, Collaborators. (8 October 2016). "Global, regional, and national life expectancy, all-cause mortality, and cause-specific mortality for 249 causes of death, 1980-2015: a systematic analysis for the Global Burden of Disease Study 2015". Lancet. 388 (10053): 1459–1544. doi:10.1016/s0140-6736(16)31012-1. PMC 5388903. PMID 27733281. {{cite journal}}: |first1= has generic name (help)CS1 maint: numeric names: authors list (link)
  7. ^ "Cancer Fact sheet N°297". World Health Organization. فبراير 2014. Archived from the original on 29 ديسمبر 2010. Retrieved 10 يونيو 2014. {{cite web}}: Unknown parameter |deadurl= ignored (|url-status= suggested) (help)
  8. ^ "Defining Cancer". National Cancer Institute. Archived from the original on 25 يونيو 2014. Retrieved 10 يونيو 2014. {{cite web}}: Unknown parameter |deadurl= ignored (|url-status= suggested) (help)
  9. ^ US Preventive Services Task, Force.; Bibbins-Domingo, K; Grossman, DC; Curry, SJ; Barry, MJ; Davidson, KW; Doubeni, CA; Epling JW, Jr; Kemper, AR; Krist, AH; Kurth, AE; Landefeld, CS; Mangione, CM; Phipps, MG; Silverstein, M; Simon, MA; Siu, AL; Tseng, CW (9 May 2017). "Screening for Thyroid Cancer: US Preventive Services Task Force Recommendation Statement". JAMA. 317 (18): 1882–1887. doi:10.1001/jama.2017.4011. PMID 28492905.
  10. ^ أ ب World Cancer Report 2014. World Health Organization. 2014. pp. Chapter 5.15. ISBN 9283204298.
  11. ^ أ ب ت Hu MI, Vassilopoulou-Sellin R, Lustig R, Lamont JP. "Thyroid and Parathyroid Cancers" in Pazdur R, Wagman LD, Camphausen KA, Hoskins WJ (Eds) Cancer Management: A Multidisciplinary Approach. 11 ed. 2008. Archived 2010-02-28 at the Wayback Machine
  12. ^ "Radioactive I-131 from Fallout". {{cite web}}: Unknown parameter |access_date= ignored (help); Unknown parameter |الموقع= ignored (help)
  13. ^ "Thyroid cancer: ESMO Clinical Practice Guidelines for diagnosis, treatment and follow-up". Annals of Oncology. 21: 214–219. 2012. doi:10.1093/annonc/mdq190. {{cite journal}}: Unknown parameter |access_date= ignored (help); Unknown parameter |الأخير1= ignored (help); Unknown parameter |الأول1= ignored (help)
  14. ^ "Genetics of Endocrine and Neuroendocrine Neoplasias". {{cite web}}: Unknown parameter |access_date= ignored (help); Unknown parameter |الموقع= ignored (help)
  15. ^ "Radioactive I-131 from Fallout". {{cite web}}: Unknown parameter |access_date= ignored (help); Unknown parameter |الموقع= ignored (help)
  16. ^ "Thyroid cancer: ESMO Clinical Practice Guidelines for diagnosis, treatment and follow-up". Annals of Oncology. 21: 214–219. 2012. doi:10.1093/annonc/mdq190. {{cite journal}}: Unknown parameter |access_date= ignored (help); Unknown parameter |الأخير1= ignored (help); Unknown parameter |الأول1= ignored (help)
  17. ^ "Genetics of Endocrine and Neuroendocrine Neoplasias". {{cite web}}: Unknown parameter |access_date= ignored (help); Unknown parameter |الموقع= ignored (help)
  18. ^ Clin. Endocrinol. (Oxf). 50 (3). doi:10.1046/j.1365-2265.1999.00663.x. PMID 10435062. {{cite journal}}: Missing or empty |title= (help); Unknown parameter |السنة= ignored (help); Unknown parameter |الصفحات= ignored (help); Unknown parameter |العنوان= ignored (help); Unknown parameter |المؤلف= ignored (help); Unknown parameter |المسار= ignored (help)
  19. ^ أ ب ت ث Chapter 20 in: Mitchell, Richard Sheppard; Kumar, Vinay; Abbas, Abul K.; Fausto, Nelson. Robbins Basic Pathology. Philadelphia: Saunders. ISBN 1-4160-2973-7. 8th edition.
  20. ^ Grani, Giorgio; Lamartina, Livia; Durante, Cosimo; Filetti, Sebastiano; Cooper, David S (November 2017). "Follicular thyroid cancer and Hürthle cell carcinoma: challenges in diagnosis, treatment, and clinical management". The Lancet Diabetes & Endocrinology. doi:10.1016/S2213-8587(17)30325-X.
  21. ^ Schlumberger M, Carlomagno F, Baudin E, Bidart JM, Santoro M (2008). "New therapeutic approaches to treat medullary thyroid carcinoma". Nat Clin Pract Endocrinol Metab. 4 (1): 22–32. doi:10.1038/ncpendmet0717. PMID 18084343.
  22. ^ Endocrine-Related Cancer. 14 (3). doi:10.1677/ERC-07-0120. PMID 17914109. {{cite journal}}: Missing or empty |title= (help); Unknown parameter |السنة= ignored (help); Unknown parameter |الصفحات= ignored (help); Unknown parameter |العنوان= ignored (help); Unknown parameter |المؤلف= ignored (help); Unknown parameter |الناشر= ignored (help)
  23. ^ Journal of nuclear medicine. 29 (11). PMID 3183748. {{cite journal}}: Missing or empty |title= (help); Unknown parameter |السنة= ignored (help); Unknown parameter |الصفحات= ignored (help); Unknown parameter |العنوان= ignored (help); Unknown parameter |المؤلف= ignored (help)
  24. ^ أ ب Thyroid. 19 (11). doi:10.1089/thy.2009.0110. PMID 19860577. {{cite journal}}: Missing or empty |title= (help); Unknown parameter |السنة= ignored (help); Unknown parameter |الصفحات= ignored (help); Unknown parameter |العنوان= ignored (help); Unknown parameter |المؤلف= ignored (help)
  25. ^ British Thyroid Association, Royal College of Physicians, Perros P. {{cite book}}: Cite has empty unknown parameters: |lay-date=, |subscription=, |nopp=, |last-author-amp=, |name-list-format=, |lay-source=, |registration=, and |lay-summary= (help); Missing or empty |title= (help)
  26. ^ Welch, H. Gilbert; Schwartz, Lisa; M.D., Lisa M. Schwartz,. {{cite book}}: Cite has empty unknown parameters: |lay-date=, |subscription=, |nopp=, |last-author-amp=, |name-list-format=, |lay-source=, |registration=, and |lay-summary= (help); Missing or empty |title= (help)CS1 maint: extra punctuation (link) CS1 maint: multiple names: authors list (link)
  27. ^ أ ب ت ث ج ح خ د ذ ر ز س ش ص ض cancer.org Thyroid Cancer Archived 18 أكتوبر 2013 at the Wayback Machine By the American Cancer Society. In turn citing: AJCC Cancer Staging Manual (7th ed).
  28. ^ أ ب ت ث ج ح خ Numbers from National Cancer Database in the US, from Page 10 Archived 13 مايو 2016 at the Wayback Machine in: F. Grünwald; Biersack, H. J.; Grunwald, F. (2005). Thyroid cancer. Berlin: Springer. ISBN 3-540-22309-6. (Note:Book also states that the 14% 10-year survival for anaplastic thyroid cancer was overestimated)
  29. ^ Rounded up to nearest natural number from 96.7% as given by eMedicine Thyroid, Papillary Carcinoma Archived 28 يوليو 2010 at the Wayback Machine Author: Luigi Santacroce. Coauthors: Silvia Gagliardi and Andrew Scott Kennedy. Updated: 28 September 2010
  30. ^ By 100% minus cause-specific mortality of 17% at 5 yr, as given by Barbet J, Campion L, Kraeber-Bodéré F, Chatal JF (2005). "Prognostic Impact of Serum Calcitonin and Carcinoembryonic Antigen Doubling-Times in Patients with Medullary Thyroid Carcinoma". Journal of Clinical Endocrinology & Metabolism. 90 (11): 6077–84. doi:10.1210/jc.2005-0044. PMID 16091497.
  31. ^ "Medullary Thyroid Cancer". National Cancer Institute. 4 فبراير 2016. Archived from the original on 30 مايو 2016. Retrieved 11 مايو 2016. {{cite web}}: Unknown parameter |deadurl= ignored (|url-status= suggested) (help)
  32. ^ "Celebrities with Thyroid problems". Alexander Shifrin. Archived from the original on 26 أغسطس 2013. Retrieved 11 أغسطس 2013. {{cite web}}: Unknown parameter |deadurl= ignored (|url-status= suggested) (help)
  33. ^ Bamberger, Michael (27 May 2002). "Survivors". Sports Illustrated. Archived from the original on 1 March 2014. Retrieved 11 August 2013.
  34. ^ Lane, Charles (8 سبتمبر 2005). "Rehnquist Eulogies Look Beyond Bench". The Washington Post. Archived from the original on 4 مارس 2016. Retrieved 11 مايو 2016. {{cite news}}: Unknown parameter |deadurl= ignored (|url-status= suggested) (help)
خطأ استشهاد: الوسم <ref> ذو الاسم "Loz2012" المُعرّف في <references> غير مستخدم في النص السابق.

وصلات خارجية

Classification
V · T · D
External resources



الكلمات الدالة: