سرطان الغدة الدرقية الجريبي
| سرطان الغدة الدرقية الجريبي | |
|---|---|
| الأسماء الأخرى | Follicular thyroid carcinoma |
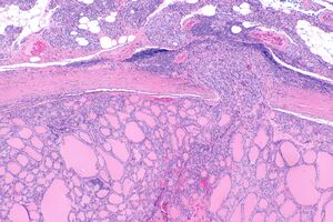
| صورة مجهرية لسرطان الغدة الدرقية الجريبي توضح موقع نمو السرطان عبر الكبسولة الجريبية. | |
| التخصص | جراحة الأنف والأذن والحنجرة، طب الأورام |
سرطان الغدة الدرقية الجريبي Follicular thyroid cancer، يمثل 15% من حالات سرطان الغدة الدرقية وهو أكثر شيوعاً بين النساء أكبر من 50 عام. قد يستخدم الثيروگلوبولين Thyroglobulin كدلالة أورام للكشف عن سرطان الغدة الدرقية الجريبي شديد التمايز. الخلايا الجريبية هي الخلايا الدرقية المسئولة عن إنتاج وإفراد هرمونات الغدة الدرقية.
الأسباب
الطفرات المرتبطة
حوالي نصف المصابين بسرطان الغدة الدرقية الجريبي لديهم طفران في فصيلة الجينات الورمية الفرعية راس، وأبرزها HRAS، NRAS، وKRAS.[1] وقد لوحظ بالمثل طفرات في MINPP1، بالإضافة لطفرات في جين الخط الجنسي PTEN، المسئول عن متلازمة كاودن التي تعتبر سمة مميزة لسرطان الغدة الدرقية الجريبي. كذلك، فإن الانتقال الكروموسومي المحدد لسرطان الغدة الدرقية يقع بين PAX8، وهو جين مهم في تطور الغدة الدرقية وترميز الجين peroxisome proliferator-activated receptor γ 1 (PPARγ1)، مستقبل هرموني نووي يساهم في التمايز الطرفي للخلايا. اندماج PAX8-PPARγ1 موجود في ثلث حالات سرطان الغدة الدرقية الجريبي تقريباً، وخاصة للحالات التي يرافقها انتقال t(2;3)(q13;p25)، مما يسمح بالتقاطع بين أجزاء كلا الجينين.[1] الأورام الحاملة للطفرة RAS، أو اندماج PAX8-PPARγ1، نادراً ما توجد تشوهات وراثية في نفس الحالة.[1] بالتالي، يبدو أن سرطان الغدة الدرقية الجريبي ينشأ من مسارين جزيئيين متمايزين وغير متداخلين عملياً.[1]
متغير خلية هرثل
عادة ما يعتبر سرطان خلية هرثل الدرقية أحد أنواع سرطان الغدة الدرقية الجريبي.[2][3] ومن الأكثر ترجيحاً أن تنتقل تكتلات خلية هرثل من أورام جانبية ومتعددة البؤر إلى اللعقيدات اللمفاوية، بشكل أكبر من السرطانات الجريبية. كما هو الحال مع السرطان الجريبي، يُجرى استئصال الدرقية الجزئي أحادي الجانب في حالات الأورام الغير-متوغلة، وتزال الدرقية بالكامل عند توغل الورم.
التشخيص
التصنيف
من غير الممكن التمييز بين الأورام الجريبية الحميدة والسرطانية على أسس خلوية. إذا أشارت نتائج الخزعة بالإبرة الدقيقة إلى وجود ورم جريبي، فينبغي في تلك الحالة استئصال الفص الدرقي للقيام بتشخيص للأنسجة. ومن السمات المميزة لسرطان الغدة الدرقية الجريبي التوغل الكبسولي والوعائي للخلايا السرطانية. ومع ذلك، يجب تقييم نقاط التركيز في التوغل الكبسولي بعناية وتمييز التمزق الكبسولي الناتج عن الخزعة والذي يؤدي إلى WHAFFT (worrisome histologic alterations following FNA of thyroid).
- يميل سرطان الدرقية الجريبي إلى الانتقال إلى الرئة والعظام عبر تيار الدم.
- من الشائع انتقال سرطان الغدة الدرقية الحليمي إلى الغدد اللمفاوية العنقية.
اقترح HMGA2 كدلالة لتحديد الأورام الخبيثة.[4]
العلاج
Treatment is usually surgical, followed by radioiodine.
العلاج الأولي
- إذا عثر على الخلايا الجريبية في الاختبار السيتولوجي، فمن الشائع إجراء استئصال الدرقية الجزئي للتمييز بين الورم الجريبي الحميد والسرطان الجريبي عند الفحص الهستولوجي، واللجوء إلى الاستئصال الكامل للدرقية والاجتثاث باليود المشع بعد العملية الجراحية حيث يتم التأكد من الإصابة بالسرطان. بهذه الطريقة لا يتم استئصال الغدة الدرقية الكلي دون داع.
- استئصال الدرقية دائماً ما يتبعه العلاج باليود المشع بمستويات تتراوح بين 50 إلى 200 مليكوري في الأسبوعين التاليين للالتزام بنظام غذائي منخفض اليود. في بعض الأحيان، يجب تكرار العلاج إذا كانت الأشعة السنوية تشير إلى وجود أنسجة سرطانية باقية. يفضل بعض الأطباء إعطاء الجرعة القصوى الآمنة (المحسوبة على أساس عدد من العوامل)، بينما يفضل البعض الآخر إعطاء جرعات أصغر، والتي قد لا تزال فعالة في إزالة جميع أنسجة الغدة الدرقية. يستخدم اليود-131 يستخدم لاجتثاث الأنسجة الدرقية.
- في السنوات الأخيرة، تجرى عملية استئصال الدرقية طفيفة التوغل عندما تكون العقد صغيرة الحجم.[5]
الكشف عن الانتكاسات
أظهرت بعض الدراسات أن اختبار الثيروگلوبين (Tg) المترافق مع الموجات فوق الصوتية على العنق أكثر دقة في العثور على الانتكاسات عن استخدام مسح الجسم الشامل عن طريق اليود المشع. ومع ذلك، فالپروتوكول الحالي (في الولايات المتحدة) يقترح إجراء عملية مسح سنوي شامل للجسم قبل الاعتماد على اختبار (Tg) بالإضافة للموجات الفوق صوتية على العنق. عند الحاجة، يتألف المسح الشامل للجسم من سحب العلاج بالثيروكسين و/أو حقن هرمون محفز للدرقية بشري مؤتلف. في كلا الحالتين، ينبغي التقيد بنظام غذائي منخفض اليود لتحسين جرعة اليود المشعة. تُعطى جرعة منخفضة من اليود المشع من بضعة ملايين من المليارات. المسح الطبي النووي الشامل يليه استخدام كاميرا گما. قد تتضمن جرعات اليود المشع يود-131 أو 123.
الهرمون المحفز للدرقية البشري المؤتلف، واسمه التجاري ثيروجن، يُنتج في المعمل من خلايا هامستر مهندسة وراثياً.
مسار المرض
يبلغ معدل البقاء لخمس سنوات الإجمالي لسرطان الدرقية الجريبي 91%، ومعدل البقاء لعشر سنوات هو 85%.[6]
مع دخول السرطان من المرحلة الأولى إلى المرحلة الرابعة، يبلغ معدل البقاء لخمس سنوات لسرطان الدرقية الجريبي 100% للمرحلة الأولى والثانية، و71% للمرحلة الثالثة، و50% للمرحلة الرابعة.[7]
المصادر
- ^ أ ب ت ث Chapter 20 in: Mitchell, Richard Sheppard; Kumar, Vinay; Abbas, Abul K.; Fausto, Nelson (2007). Robbins Basic Pathology. Philadelphia: Saunders. ISBN 978-1-4160-2973-1. 8th edition.
- ^ Kushchayeva Y, Duh QY, Kebebew E, D'Avanzo A, Clark OH (2007). "Comparison of clinical characteristics at diagnosis and during follow-up in 118 patients with Hurthle cell or follicular thyroid cancer". Am J Surg. 195 (4): 457–62. doi:10.1016/j.amjsurg.2007.06.001. PMID 18070728.
- ^ Hu MI, Vassilopoulou-Sellin R, Lustig R, Lamont JP. "Thyroid and Parathyroid Cancers" in Pazdur R, Wagman LD, Camphausen KA, Hoskins WJ (Eds) Cancer Management: A Multidisciplinary Approach. 11 ed. 2008.
- ^ Belge G; Meyer A; Klemke M; et al. (2008). "Upregulation of HMGA2 in thyroid carcinomas: A novel molecular marker to distinguish between benign and malignant follicular neoplasias". Genes Chromosomes Cancer. 47 (1): 56–63. doi:10.1002/gcc.20505. PMID 17943974.
{{cite journal}}: Unknown parameter|name-list-format=ignored (|name-list-style=suggested) (help) - ^ Hegazy MA; Khater AA; Setit AE; et al. (2007). "Minimally invasive video-assisted thyroidectomy for small follicular thyroid nodules". World J Surg. 31 (9): 1743–50. doi:10.1007/s00268-007-9147-7. PMID 17653588.
{{cite journal}}: Unknown parameter|name-list-format=ignored (|name-list-style=suggested) (help) - ^ Numbers from National Cancer Database in the US, from Page 10 in: F. Grünwald; Biersack, H. J.; Grںunwald, F. (2005). Thyroid cancer. Berlin: Springer. ISBN 978-3-540-22309-2. (Note:Book also states that the 14% 10-year survival for anaplastic thyroid cancer was overestimated
- ^ cancer.org > Thyroid Cancer By the American Cancer Society. In turn citing: AJCC Cancer Staging Manual (7th ed).
وصلات خارجية
| Classification | |
|---|---|
| External resources |