ورم جزيري
| ورم جزيري | |
|---|---|
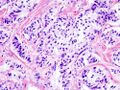
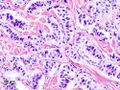
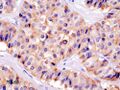
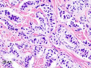
| علم أمراض ورم الغدد الصماء في البنكرياس (الورم الإنسوليني). | |
| التخصص | علم الأمراض |
الورم الجزيري أو الورم الإنسوليني (إنگليزية: insulinoma)، هو ورم في البنكرياس مشتق من خلايا بيتا ويفرز الأنسولين . إنه شكل نادر من ورم الغدد الصم العصبية . معظم الأورام الجزيرية حميدة من حيث أنها تنمو حصريًا في منشأها داخل البنكرياس ، ولكن تنتقل أقلية منها. الأورام الجزيرية هي إحدى مجموعات أورام الغدد الصماء العصبية الوظيفية (PNET) ("وظيفية" لأنها تزيد من إنتاج الأنسولين).[1] في تصنيف عناوين الموضوعات الطبية ، يعتبر الورم الجزيري هو النوع الفرعي الوحيد من "الورم الحميد لخلية الجزيرة".[2]
تفرز خلايا بيتا الأنسولين استجابةً لزيادة نسبة السكر في الدم. تعمل الزيادة الناتجة في الأنسولين على خفض نسبة الجلوكوز في الدم إلى المستويات الطبيعية ، وعند هذه النقطة يتم إيقاف إفراز الأنسولين. في المقابل ، لا يتم تنظيم إفراز الأنسولين عن طريق الأورام الجزيرية بشكل صحيح بواسطة الجلوكوز ، وتستمر الأورام في إفراز الأنسولين مما يؤدي إلى انخفاض مستويات الجلوكوز أكثر من المعتاد..[3]
نتيجة لذلك ، تظهر على المرضى أعراض انخفاض نسبة السكر في الدم ( نقص السكر في الدم ) ، والتي تتحسن عن طريق تناول الطعام. عادة ما يتم تشخيص الورم الجزيري بطريقة كيميائية حيوية مع انخفاض مستوى الجلوكوز في الدم ، وارتفاع الأنسولين ، والبرونسولين ، ومستويات الببتيد C ، ويتم تأكيده عن طريق تحديد مكان الورم من خلال التصوير الطبي أو تصوير الأوعية. العلاج النهائي هو الجراحة.[4]
الأعراض والعلامات
عادة ما يصاب المرضى المصابون بالأورام الجزيرية بأعراض اعتلال عصبية بنقص السكر. وتشمل هذه الصداع المتكرر والخمول وازدواج الرؤية وعدم وضوح الرؤية ، خاصة مع ممارسة الرياضة أو الصيام. قد يؤدي نقص السكر في الدم الشديد إلى حدوث نوبات وغيبوبة وتلف عصبي دائم. الأعراض الناتجة عن الاستجابة الكاتيكولامينية لنقص السكر في الدم (مثل الارتعاش ، والخفقان ، وعدم انتظام دقات القلب ، والتعرق ، والجوع ، والقلق ، والغثيان) ليست شائعة. يُلاحظ أحيانًا زيادة الوزن المفاجئة.[citation needed]
التشخيص
يشتبه في تشخيص الورم الجزيري لدى مريض يعاني من أعراض نقص السكر في الدم أثناء الصيام. يجب تلبية شروط ثالوث ويبل من أجل تشخيص "نقص السكر في الدم الحقيقي"::[5][6]
- أعراض وعلامات نقص السكر في الدم ،
- ما يصاحب ذلك من مستوى جلوكوز البلازما 45 ملجم / ديسيلتر (2.5 مليمول / لتر) أو أقل ، و
- انعكاس الأعراض بإعطاء الجلوكوز.
اختبارات الدم
اختبارات الدم هذه ضرورية لتشخيص ورم الجزيري:[7]
إذا كان متاحًا ، فقد يكون مستوى البرونسولين مفيدًا أيضًا. قد تساعد اختبارات الدم الأخرى في استبعاد الحالات الأخرى التي يمكن أن تسبب نقص السكر في الدم.
اختبارات التثبيط
عادة ، يتم تثبيط إنتاج الأنسولين الداخلي في حالة نقص السكر في الدم. يمكن إجراء صيام لمدة 72 ساعة ، يتم الإشراف عليه عادةً في المستشفى ، لمعرفة ما إذا كانت مستويات الأنسولين لا تنجح ، وهو مؤشر قوي على وجود ورم يفرز الأنسولين. .[بحاجة لمصدر]
أثناء الاختبار ، قد يكون لدى المريض سوائل خالية من السعرات الحرارية والكافيين. يتم قياس نسبة الجلوكوز في الدم الشعري كل 4 ساعات باستخدام مقياس الانعكاس ، حتى يتم الحصول على القيم <60 مجم / ديسيلتر (3.3 ملي مول / لتر). بعد ذلك ، يتم زيادة وتيرة قياس نسبة الجلوكوز في الدم إلى كل ساعة حتى تصبح القيم أقل من 49 مجم / ديسيلتر (2.7 ملي مول / لتر). في هذه المرحلة ، أو عندما يعاني المريض من أعراض نقص السكر في الدم ، يتم إجراء اختبار الدم لمستويات الجلوكوز والأنسولين وطليعة الإنسولين و السي ببتيد في الدم. ثم يتوقف الصيام عند هذه النقطة ، ويعالج نقص السكر في الدم بالديكستروز عن طريق الوريد أو الطعام أو الشراب المحتوي على الكربوهيدرات. .[citation needed]
التصوير التشخيصي
قد يتم توطين الورم الجزيري بوسائل غير باضعة ، باستخدام الموجات فوق الصوتية أو تصوير طبقي محوسب أو تقنيات التصوير بالرنين المغناطيسي. يعد فحص بنتتريوتيد الإنديوم -111 أكثر حساسية من الموجات فوق الصوتية أو التصوير المقطعي المحوسب أو التصوير بالرنين المغناطيسي للكشف عن الأورام الإيجابية لمستقبلات السوماتوستاتين ، ولكنه ليس أداة تشخيصية جيدة للأورام الجزيرية. تبلغ حساسية تنظير بالموجات فوق الصوتية 40-93٪ (حسب مكان الورم) للكشف عن الأورام الأنسولين.[8]
في بعض الأحيان ، يلزم تصوير الأوعية باستخدام قسطرة من خلال الوريد البنكرياسي عبر الكبد لأخذ عينات من الدم لمعرفة مستويات الأنسولين. يمكن حقن الكالسيوم في شرايين مختارة لتحفيز إفراز الأنسولين من أجزاء مختلفة من البنكرياس ، والتي يمكن قياسها بأخذ عينات الدم من الأوردة الخاصة بكل منها. يحسن استخدام تحفيز الكالسيوم من نوعية هذا الاختبار.[citation needed]
أثناء الجراحة لإزالة ورم جزيري ، يمكن أحيانًا للموجات فوق الصوتية أثناء العملية تحديد مكان الورم ، مما يساعد في توجيه الجراح في العملية ولديه حساسية أعلى من فحوصات التصوير غير الباضعة.[citation needed]
العلاج
المعالجة النهائية هي الاستئصال الجراحي للورم الجزيري. قد يشمل ذلك أيضًا إزالة جزء من البنكرياس ( إجراء ويبل واستئصال البنكرياس القاصي ). الأدوية مثل ديازوكسيد و السوماتوستاتين يمكن استخدامها لمنع اطلاق الأنسولين للمرضى الذين ليسوا مرشحين الجراحية أو الذين لديهم أورام غير صالحة للجراحة. يستخدم الستربتوزوتوسين في سرطان الخلايا الجزيرية التي تنتج الأنسولين بشكل مفرط. يتم استخدام العلاج الكيميائي المركب ، إما دوكسوروبيسين وستربتوزوتوسين ، أو فلورويوراسيل وستربتوزوسين في المرضى الذين يُمنع استخدام دوكسوروبيسين لهم. في أورام النقيلة مع نمو داخل الكبد ، يمكن استخدام انسداد الشرايين الكبدي أو الانصمام..[citation needed]
المآل
يمكن علاج معظم المرضى الذين يعانون من أورام جزيرية الحميدة بالجراحة. يميل نقص السكر في الدم المستمر أو المتكرر بعد الجراحة إلى الحدوث في المرضى الذين يعانون من أورام متعددة. حوالي 2٪ من المرضى يصابون بداء السكري بعد الجراحة.[citation needed]
الحدوث (الوقوع)
الأورام الجزيرية هي أورام الغدد الصم العصبية النادرة بمعدل حدوث واحد إلى أربع حالات جديدة لكل مليون شخص سنويًا. الورم الجزيري هو أحد أكثر أنواع الأورام شيوعًا التي تنشأ من جزر خلايا لانجرهانز (أورام الغدد الصماء البنكرياسية). تتراوح تقديرات الأورام الخبيثة (النقائل) من 5 إلى 30٪. أكثر من 99٪ من أورام جزيرية تنشأ في البنكرياس ، مع حالات نادرة من أنسجة البنكرياس المنتبذة. ترتبط حوالي 5٪ من الحالات بأورام الغدد الجار درقية والغدة النخامية ( الأورام الصماء المتعددة من النوع 1 ) وهي أكثر عرضة لأن تكون متعددة وخبيثة. معظم الأورام الجزيرية صغيرة ، أقل من 2 سم.[citation needed]
التاريخ
تم التعرف على نقص السكر في الدم لأول مرة في القرن التاسع عشر. في عشرينيات القرن الماضي ، بعد اكتشاف الأنسولين واستخدامه في علاج مرضى السكر ، كان يُشتبه في أن فرط الأنسولين سبب لنقص السكر في الدم لدى الأشخاص غير المصابين بمرض السكر. نشر سيل هاريس وصفًا رائدًا لفرط الأنسولين كسبب لنقص السكر في الدم في عام 1924. كان أول تقرير عن علاج جراحي لنقص السكر في الدم عن طريق إزالة ورم الخلايا الجزيرية في عام 1929.[citation needed]
وفَّر ورم أنسولين تمت إزالته من امرأة في ميونيخ الأنسولين رنا المرسال الذي تم استخدامه في أول تجربة استنساخ جيني بشري. في عام 1979 ، استنسخ أكسل أولريش هذا الجين وتحويله إلى الإشريكية القولونية . معظم الأنسولين العلاجي المستخدم اليوم مستمد من ورم هذه المرأة..[9]
صور إضافية
انظر أيضاً
المصادر
- ^ Burns, William R.; Edil, Barish H. (March 2012). "Neuroendocrine Pancreatic Tumors: Guidelines for Management and Update". Current Treatment Options in Oncology. 13 (1): 24–34. doi:10.1007/s11864-011-0172-2. PMID 22198808. S2CID 7329783.
- ^ MeSH website, tree at: "Pancreatic Neoplasms [C04.588.322.475]",[dead link] accessed 16 October 2014
- ^ "Insulinomas". The Lecturio Medical Concept Library. Retrieved 27 July 2021.
- ^ "Insulinomas". The Lecturio Medical Concept Library. Retrieved 27 July 2021.
- ^ Melmed, Shlomo (2016). Williams textbook of endocrinology (13 ed.). Elsevier. pp. 1582–1607. ISBN 978-0-323-29738-7.
- ^ Martens, Pieter; Tits, Jos (June 2014). "Approach to the patient with spontaneous hypoglycemia". European Journal of Internal Medicine. 25 (5): 415–421. doi:10.1016/j.ejim.2014.02.011. PMID 24641805.
- ^ "Insulinomas". The Lecturio Medical Concept Library. Retrieved 22 July 2021.
- ^ Sotoudehmanesh, Rasoul; Hedayat, Anooshirvan; Shirazian, Nahid; Shahraeeni, Shadi; Ainechi, Sanaz; Zeinali, Fatemeh; Kolahdoozan, Shadi (17 September 2007). "Endoscopic ultrasonography (EUS) in the localization of insulinoma". Endocrine. 31 (3): 238–241. doi:10.1007/s12020-007-0045-4. PMID 17906369. S2CID 5634475.
- ^ "Genentech and Axel Ulrich clone the human insulin gene". Tacomed.com. Archived from the original on 27 September 2017. Retrieved 13 June 2017.
قراءات إضافية
- Larsen PR, Williams RL (2003). Williams textbook of endocrinology (10th ed.). Philadelphia: WB Saunders. ISBN 978-0-7216-9184-8.
- Doppman, John L. (15 August 1995). "Localization of Insulinomas to Regions of the Pancreas by Intra-arterial Stimulation with Calcium". Annals of Internal Medicine. 123 (4): 269–273. doi:10.7326/0003-4819-123-4-199508150-00004. PMID 7611592. S2CID 20993342.
- Vella, Adrian. "Insulinoma". UpToDate.
وصلات خارجية
| Classification | |
|---|---|
| External resources |
- Articles with dead external links from July 2021
- الصفحات بخصائص غير محلولة
- Short description is different from Wikidata
- Articles containing إنگليزية-language text
- Pages using Lang-xx templates
- Articles with unsourced statements from August 2020
- مقالات ذات عبارات بحاجة لمصادر
- Articles with unsourced statements from June 2021
- صفحات بها وصلات إنترويكي
- أورام الغدد الصماء
- سرطانات نادرة
- Amyloidosis