سرطان الشرج

سرطان الشرج
Anal cancer
Stomach colon rectum diagram.svg
Diagram of the stomach, colon, and rectum
التبويب والمصادر الخارجية
التخصصعلم الأورام
ICD-10C18.-C20.
ICD-9-CM153.0-154.1
ICD-OM8140/3 (95% of cases)
OMIM114500
DiseasesDB2975
MedlinePlus000262
eMedicinemed/413 med/1994 ped/3037
Patient UK

فشل عرض الخاصية P1461: لم يتم العثور على الخاصية P1461.

سرطان الشرج
Gross appearance of a colectomy specimen containing two adenomatous polyps (the brownish oval tumors above the labels, attached to the normal beige lining by a stalk) and one invasive colorectal carcinoma (the crater-like, reddish, irregularly-shaped tumor located above the label).
Gross appearance of a colectomy specimen containing one invasive colorectal carcinoma (the crater-like, reddish, irregularly-shaped tumor).

سرطان الشرج ، هو أحد أمراض السرطان والذي يصيب فتحة الشرج ، في نهاية القناة الهضمية. وهو أحد أمراض سرطان القولون. ويعتبر نمو سرطان في فتحة الشرج أو الغشاء المبطن لها هو سرطان غير شائع – ويمثل نسبة صغيرة من الأورام السرطانية للقولون والمستقيم وفتحة الشرج. يكون أكثر شيوعا في الرجال في الجزء الخارجى من فتحة الشرج عكس النساء حيث يكون أكثر في الجزء الداخلي. يجب ملاحظة أن الأورام التى تحدث في الجلد الخارجى حيث يوجد الشعر هى أورام في الجلد وليس فتحة الشرج. [1]

إنتشار المرض

يعتبر سرطان الشرج من السرطانات الغير شائعة – منتشر أكثر في الشواذ جنسيا والمصابين بفيروسات الثأليل و مرض نقص المناعة – ولكن يحدث للأشخاص آخرين بدون هذه الصفات.

تبعا لتقديرات الجمعية الأمريكية للسرطان ACS في عام 2008 ، فإنه يوجد حوالي 5.070 حالية سرطان شرج جديدة سوف يتم تشخصيها في الولايات المتحدة (حوالي 3.000 من السيدات و 2.000 من الرجال).[2] It is typically found in adults, average age early 60s.[2]

في الولايات المتحدة ، يوجد 680 شخص سيتوفوا نتيجة للإصابة بمرض سرطان الشرج في 2008.[2]

التشخيص والمسح والمتابعة

Endoscopic image of colon cancer identified in sigmoid colon on screening colonoscopy in the setting of Crohn's disease.


الأعراض

  • نزيف شرجى- قد يكون كمية بسيطة.
  • ألم في فتحة الشرج.
  • إفرازات حيث أن الورم يتعارض مع القفل المحكم للعضلات القابضة.
  • الإحساس بوجود الورم في فتحة الشرج بواسطة المريض.

وتتفق هذه الأعراض غالبا مع الإصابة بالبواسير أو الشرخ الشرجي ، وهى من الأمراض الشائعة ولكن يجب الكشف عند الجراح للتأكد من عدم وجود الورم.

الوقاية

الكشف عن المرض

يتم الفحص الاكلينيكى عن طريق الطبيب الجراح بالأصبع داخل فتحة الشرج وفى حالة وجود ورم سوف يطلب الجراح الفحص تحت مخدر عام لأخذ عينة ، لأن المنطقة حساسة عكس المستقيم ولايمكن أخذ عينة منها بدون تخدير.

العلاج

العلاج يعتمد على نوع خلايا الورم فبعض الأنواع تستجيب للعلاج الإشعاعى أكثر من غيرها وConsortium كذلك العلاج الكيماوى. والهدف هو الإستئصال للورم حسب مرحلته ويتراوح بين إستئصال جزء سطحي مع المحافظة على القناة الشرجية والتبرز الطبيعى وهذا يكون في المراحل المبكرة. إلى الإستئصال الكامل للقناة الشرجية والمستقيم والجزء السفلى من القولون وتحويل مجرى البراز كليا ودائما إلى فتحة كولوستومى بجدار البطن مع العلاج الإشعاعى والكيمائى.

عوامل الخطر

Micrograph of a tubular adenoma, a type of colonic polyp and a precursor of colorectal cancer.

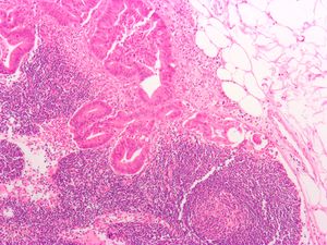
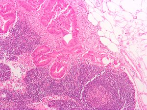
علم الأمراض

Micrograph of an invasive adenocarcinoma (the most common type of colorectal cancer). The cancerous cells are seen in the center and at the bottom right of the image (blue). Near normal colon-lining cells are seen at the top right of the image.
Histopathologic image of colonic carcinoid stained by hematoxylin and eosin.

التكهن بالمرض

Based on series of 270 patients, the five year survival by stage was[بحاجة لمصدر]:

T1 — 86 percent
T2 — 86 percent
T3 — 60 percent
T4 — 45 percent
N0 — 76 percent
Node-positive — 54 percent


المراحل

Micrograph of a colorectal adenocarcinoma metastasis to a lymph node. The cancerous cells are at the top center-left of the image, in glands (circular/ovoid structures) and eosinophilic (bright pink). H&E stain.
AJCC stage TNM stage TNM stage criteria for colorectal cancer[3]
Stage 0 Tis N0 M0 Tis: Tumor confined to mucosa; cancer-in-situ
Stage I T1 N0 M0 T1: Tumor invades submucosa
Stage II-B T2 N0 M0 T2: Tumor invades muscularis propria
Stage II-A T3 N0 M0 T3: Tumor invades subserosa or beyond (without other organs involved)
Stage II-B T4 N0 M0 T4: Tumor invades adjacent organs or perforates the visceral peritoneum
Stage III-A T1-2 N1 M0 N1: Metastasis to 1 to 3 regional lymph nodes. T1 or T2.
Stage III-B T3-4 N1 M0 N1: Metastasis to 1 to 3 regional lymph nodes. T3 or T4.
Stage III-C any T, N2 M0 N2: Metastasis to 4 or more regional lymph nodes. Any T.
Stage IV any T, any N, M1 M1: Distant metastases present. Any T, any N.

انظر أيضا

المصادر

  1. ^ طبيبك دوت كوم
  2. ^ أ ب ت "Detailed Guide: Anal Cancer What Are the Key Statistics About Anal Cancer?". Retrieved 2008-11-18.
  3. ^ AJCC Cancer Staging Manual (Sixth Edition ed.). Springer-Verlag New York, Inc. 2002. {{cite book}}: |edition= has extra text (help)

وصلات خارجية

انظر أيضاً

المصادر


الكلمات الدالة: