معدة
| ' | |
|---|---|
موضع المعدة في الجسم. | |
![]() Diagram from cancer.gov: * 1. Body of stomach * 2. Fundus * 3. Anterior wall * 4. Greater curvature * 5. Lesser curvature * 6. Cardia * 9. Pyloric sphincter * 10. Pyloric antrum * 11. Pyloric canal * 12. Angular notch * 13. Gastric canal * 14. Rugal folds Work of the United States Government | |
| Details | |
| العصب | celiac ganglia, vagus[1] |
| اللمف | celiac preaortic lymph nodes[2] |
| المُعرفات | |
| اللاتينية | Ventriculus |
| اليونانية | Gaster |
| MeSH | D013270 |
| TA98 | A05.5.01.001 |
| TA2 | 2901 |
| FMA | 7148 |
| المصطلحات التشريحية | |
إن وظيفة المعدة هي هضم المواد الغذائية التي نتناولها وخاصة المواد البروتينية أي تكسيرها إلى جزيئات صغيرة، حيث تقوم جدران المعدة القوية بالضغط على الطعام لمدة 4 ساعات يتحول بعدها الطعام إلى شبه سائل بعد هذا يمر الطعام عبر فتحة البواب إلى الأمعاء الرفيعة والتي يبلغ طولها حوالي 20 قدماً في الشخص البالغ. ولذلك فهي ملفوفة على بعضها البعض حتى يتسع لها تجويف البطن. أول جزء في الأمعاء الرفيعة هو الإثنى عشر أي أن طوله يساوى عرض 12 إصبعاً وهنا تفتح قناتان فيه هما: ـ الحويصلة المرارية: وهي كيس صغير يلتصق بالكبد وتحمل المرارة التي تهضم المواد الدهنية ـ قناة البنكرياس: وتحمل العصارة البنكرياسية والتي تقوم بالمساعدة في عملية الهضم ومعادلة حامض المعدة. وبعد أن يمر الطعام من الاثنى عشر يصبح صالحاً للامتصاص حيث تتم هذه العملية داخل تلافيف الأمعاء الرفيعة وبنسبة ضئيلة في الأمعاء الغليظة. ويبطن جدار الأمعاء الرفيعة ملايين الخلايا الدقيقة التي تسمى الخمائل والتي تقوم بعملية الامتصاص. ثم يلي ذلك القولون والذي يبلغ طوله 5 أقدام وهو على شكل ثلاث أضلاع مربعة حيث يمتد من الجهة اليمنى السفلية من البطن إلى أعلى ثم ينثني بعرض البطن تحت المعدة ثم ينثني مرة أخرى نازلاً من الجهة اليسرى للبطن إلى أسفل. وتسمى نهاية القولون بالمستقيم الذي يبلغ طوله حوالي 6 بوصات ويقع في تجويف الجزء العجزي من العمود الفقري. وينتهي المستقيم بقناة الشرج التي تكون مقفلة عادة بواسطة عضلة مستديرة قوية تسمى عضلة فتحة الشرج. وتصل نفايات الطعام إلى القولون على هيئة نصف سائل حيث لا يسمح الجسم بخروجها على هذه الهيئة فيقوم القولون بامتصاص معظم السائل من هذه الفضلات ثم يخرج الباقي على هيئة براز. ويستغرق الطعام مدة 24 ساعة قبل المرور خارج القناة الهضمية.فالمعدة لاتقبل أي طعام بارد جدا فهي تتضرر من دالك وكدالك الطعام الساخن فهو يصيبها بقرحة المعدة.
مقالة مفصلة: لماذا لاتهضم المعدة نفسها
تشريح المعدة البشرية
أقسامها
The stomach is divided into four sections, each of which has different cells and functions. The sections are:
| Cardia | Where the contents of the esophagus empty into the stomach. |
| Fundus | Formed by the upper curvature of the organ. |
| Body or corpus | The main, central region. |
| Pylorus or antrum | The lower section of the organ that facilitates emptying the contents into the small intestine. |
طبقات جدار المعدة
Like the other parts of the gastrointestinal tract, the stomach walls are made of the following layers, from inside to outside:
| mucosa | The first main layer. This consists of an epithelium, the lamina propria underneath, and a thin layer of smooth muscle called the muscularis mucosae. |
| submucosa | This layer lies under the mucosa and consists of fibrous connective tissue, separating the mucosa from the next layer. The Meissner's plexus is in this layer. |
| muscularis externa |
Under the submucosa, the muscularis externa in the stomach differs from that of other GI organs in that it has three layers of smooth muscle instead of two.
|
| serosa | This layer is under the muscularis externa, consisting of layers of connective tissue continuous with the peritoneum. |
لماذا لا تهضم المعدة نفسها؟
المعدة هي المكان الرئيسي لهضم البروتينات وهي أكثر أجزاء الجسم حموضة حيث تصل فيها درجة الحموضة إلي1(PH1) ويقدر حجم العصارة المعدية يوميا بحوالي2,5 ـ3 لتر وتتكون من:
(1) الماء: ويمثل حوالي99% من حجم العصارة المعدية
(2) مواد عضوية: وتمثل حوالي4,% من حجم العصارة المعدية وتشمل:
ـ إنزيمات مثل إنزيم ببسينوجين لهضم البروتين وليباز لهضم الدهون وإنزيم جيلاتيناز لهضم الجيلاتين وإنزيم أمايلاز لهضم النشويات
- ـ المخاط (Mucous) وهو مهم للمحافظة علي جدار المعدة
- ـ العامل الداخلي (intrinsicFactor) ويلزم لامتصاص فيتامين ب12

(3) مواد غير عضوية: وتمثل حوالي1 ر% من حجم العصارة المعدية وتشمل عناصر مثل الصوديوم والبوتاسيوم والكالسيوم والمغنسيوم.
(4) حمض الهيدوكلوريك: ويمثل حوالي5 ر% من حجم العصارة المعدية ويتم إفرازه بواسطة خلايا تسمي "خلايات مفرزة للحمض Oxyntic cells" وهي نفس الخلايا التي تفرز العامل الداخلي وهذه الخلايا تحتوي علي عدد كبير من الأجسام السبحية (Mitochondria) والتي تمثل حوالي40% من حجم الخلية بالاضافة إلي جهاز قنوي في غاية التعقيد يتصل من داخل الخلايا بتلك القنوات ويتصل أيضا بالتجويف المعدي الرئيس حيث يتم إفراز حمض الهيدروكلوريك علي غشاء هذه القنوات الداخلي فلايتلامس مع ستيوبلازم هذه الخلايا ويفرز مباشرة إلي التجويف المعدي خلال هذه القنوات المعقدة ولهذا الحمض وظائف كثيرة منها:
(1) تنشيط تحويل مادة pepsinogen إلي إنزيم Pepsin والذي يؤدي إلي هضم المواد البروتينية.
(2) قتل كميات كبيرة من الميكروبات.
(3) زيادة إفراز العصارة المرارية وعصارة البنكرياس عن طريق تنشيط CCK وإفراز سكريتين.
(4) المساعدة في امتصاص عنصري الكالسيوم والحديد.
(5) المساعدة علي تخثر اللبن في وجود إنزيم ببسين.
(6) المساعدة في تنظيم تفريغ المعدة عن طريق تنشيط رد الفعل المعوي المعدي ولكن إذا كانت المعدة هي المكان الرئيسي لهضم البروتينات وإذا كانت تحتوي علي الانزيم الخاص بهضم البروتين وiو إنزيم Pepsin وإذا كانت تحتوي علي أعلي نسبة حموضة بالجسم وهي (PH1) فلماذا إذن لاتهضم المعدة نفسها؟
إن ذلك يمكن فهمه إذا عرفنا أن هناك ما يسمي بالحاجز المخاطي المعدي Gastric mucosal barrier بالمواصفات التالية:
- أن الغشاء المخاطي المعدي الجيلاتيني Mucousgelcoat سميك ويتجاوز سمكه أكثر من1 مم وهذا في حد ذاته يؤدي إلي حماية كبيرة للمعدة.
- أن حمض الهيدروكلوريك يعبر هذا الحاجز من خلال قنوات في منتهي التعقيد ولها منظر مثل الأصابع لهذه القنوات إصبعية الشكل ويتم إفرازه علي الغشاء الداخلي لهذه القنوات المعقدة بعيدا عن سيتوبلازم هذه الخلايا المفرزة ويتم إفرازه ونقله عن طريق هذه القنوات إلي داخل تجويف المعدة دون أن يؤذي هذه الخلايا تاركا هذا الحاجز الجيلاتيني سليما.
- أن خلايا الغشاء المعدي المخاطي مرتبطة ببعضها بروابط شديدة (TightJunction)
- أن خلايا الغشاء المخاطي للمعدة متماسكة
- وجود ببتيدات في الغشاء المخاطي تسمي TreFoilpeptides وهذه الببتيدات تقاوم تأثير الحمض والانزيمات عن طريق مادة تسمي البروستجلاندين والتي تؤدي إلي:
- تحفيز إفراز المخاط.
- تثبيط إفراز حمض الهيدروكلوريك.
- زيادة كمية الدم التى تصل إلى الغشاء المخاطي.
ونظرا لتكامل هذا النظام المحكم في حماية المعدة من الانزيمات الهاضمة للبروتين ومن حمض الهيدروكلوريك فإنه تجب المحافظة عليه وعدم تعرضه للتآكل وذلك بتجنب الكحوليات والأملاح والسكريات المركزة والخل والأسبرينات ومضادات الالتهابات.
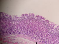
الغدد
The epithelium of the stomach forms deep pits. The glands at these locations are named for the corresponding part of the stomach:
| Cardiac glands (at cardia) |
Pyloric glands (at pylorus) |
Fundic glands (at fundus) |
![]() |
![]() |
|
Different types of cells are found at the different layers of these glands:
| Layer of stomach | Name | Secretion | Region of stomach | Staining |
| Isthmus of gland | goblet cells | mucus gel layer | Fundic, cardiac, pyloric | Clear |
| Neck of gland | parietal (oxyntic) cells | gastric acid and intrinsic factor | Fundic, cardiac, pyloric | Acidophilic |
| Base of gland | chief (zymogenic) cells | pepsinogen, rennin | Fundic only | Basophilic |
| Base of gland | enteroendocrine (APUD) cells | hormones | Fundic, cardiac, pyloric | - |
التحكم في الإفرازات والحركة
The movement and the flow of chemicals into the stomach are controlled by both the autonomic nervous system and by the various digestive system hormones:
| Gastrin | The hormone gastrin causes an increase in the secretion of HCl, pepsinogen and intrinsic factor from parietal cells in the stomach. It also causes increased motility in the stomach. Gastrin is released by G-cells in the stomach to distenstion of the antrum, and digestive products. It is inhibited by a pH normally less than 4 (high acid), as well as the hormone somatostatin. |
| Cholecystokinin | Cholecystokinin (CCK) has most effect on the gall bladder, but it also decreases gastric emptying. |
| Secretin | In a different and rare manner, secretin, produced in the small intestine, has most effects on the pancreas, but will also diminish acid secretion in the stomach. |
| Gastric inhibitory peptide | Gastric inhibitory peptide (GIP) decreases both gastric acid and motility. |
| Enteroglucagon | enteroglucagon decreases both gastric acid and motility. |
أمراض المعدة
- Dyspepsia
- Stomach ache
- Peptic ulcer
- Achlorhydria
- Hypochlorhydria
- Linitis plastica
- Zollinger-Ellison syndrome
- Gastroparesis
- GERD
- Borborygmus



