متورقة كبدية

متورقة كبدية
Common liver fluke
Fasciola hepatica.JPG
Fasciola hepatica - adult worm
التصنيف العلمي
مملكة:
Phylum:
Class:
Subclass:
Order:
Family:
Genus:
Species:
F. hepatica
Binomial name
Fasciola hepatica
(Linnaeus, 1758)


الفاشيولا الكبدية (بالإنجليزية Fasciola hepatica) هي مرض معد، يصيب الإنسان والحيوانات بما فيهما الماشية والغنم. يسبب هذا المرض طفيل، حيث يعيش في القناة المرارية ،أكثر من كبد العائل نفسه. ويضع الطفيل بيضه ليخرج مع البراز. ينتقل الطفيل إلى الإنسان عن طريق المياه الملوثة من براز الثدييات المحتوي على البيض، حيث تفقس البويضات في الماء لتخرج الميرسيديا في المياه العذبة التي تهاجم القواقع وتتكاثر بها وتخرج السركاريا لتلتصق بالنباتات البحرية أو تتحوصل لتكون حرة في المياه.

تقيس من 2-3 سم وبيوضها كبيرة (110-140 ) ميكرون واحفظوها 120 ميكرون تتوضع هذه الوريقات نسيجيا في الكبد وقد تتوضع في الأقنية الصفراوية تصيب الأبقار والأغنام بشكل عام ويمكن أن تصيب البشر .

  1. الوريقة الكبدية الصغيرة Dicrocoelium dendriticum :

تقيس من 1.5-1.8 سم تقريبا. بيوضها تقيس 40 ميكرونا وتتميز هذه البيض بوجود غلاف ثخين مقاوم للوسط الخارجي (مثل بيوض شعرية الرأس ) تتوضع في الأقنية الصفراوية (بالدرجة الأولى) ويمكن أن تتوضع في البنكرياس (بالدرجة الثانية ) . تصيب الأبقار والأغنام بشكل عام ويمكن أن تصيب البشر.

بيولوجيا المرض

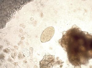
بويضة F. hepatica

فيتناولها الحيوان فبصبح مصابا بالفلاريا. حيث تخرج السركاريا من حويصلتها في الأمعاء الصغري وتتجه من تجويف البطن بعدما تخترقه إلي كبد العائل . والفاشيولا الكبدية تنتشر في الولايات المتحدة وبريطانيا وأوربا والشرق الأوسط وأفريقيا وأستراليا. والماشية والأغنام المصابة بالمرض يقل وزنها وتعطي كميات قليلة من اللبن . وفي معظم الدول كبد المواشي المصاب بالطفيل يعدم لأنه غير صالح للإستهلاك الآدمي. ويمكن تشخيص المرض عن طريق تحليل براز المصابين به. وتسبب الفلاريا الحمي الراجعة وآلام في الصدر والبطن وتورم الكبد والتهاب الحلق وتورمه والأنيميا وقلة الوزن. وضيق التنفس والتغير في عادات التبرز والإسهال والغثيان والقيء وأحيانا الصفراء. وأحيانا يصاب البعض يالأرتيكاريا والعطس وظهور عقد تحت الجلد متورمة قد يصل قطرها 6 سنتيميتر نتيجة وصول اليرقات له. وقد تضل للرئة أو القلب أو المخ أو العين أو الأمعاء أو قناة المجاري البولية والجهاز التناسلي. وسبب العدوي شرب مياه أو تناول نباتات مائية ملوثة. أو تناول كبدة مصابة.

وتعتبر الفاشيولا مرضا نادرا في الولايات المتحدة الأمريكية, رغم وجود 2 مليون مصاب به في العالم منذ عام 1980ولا سيما في المناطق المعتدلة والمناطق الإستوائية في جنوب وجنوب شرقي آسيا وأفريقيا. والمرض ينتشر بهذه المناطق التي يكثر فيها تربية الغنم والمواشي من بينها بوليفيا( 65-92% .) وإكوادور (من 23- 53%) وبيرو (10%) وإثيوبيا (11%) و في مصر 3% من الأطفال أصيبوا بالعدوي حتي أصبح مرضا وبائبا بوادي النيل .وقد ظهرت حالات فاشيولا في لبنان يطلق عليها الهالوزون halzoun وفي السودان يطلق عليها الماريرا نتيجة تناول كبدة الأغنام والماعز والبفر النيئة والمصابة بالمرض وتسبب تورم وإلتهاب الحلق. والأطفال يصابون بالأنيميا مما قد يؤدي للموت. و 60% من المصابين من الذكور.

دورة الحياة

  1. تشبه دورة حياة المنشقات ولكن تختلف عنها بوجود ثويين وسطين لها .
  2. تعطي البيوض الجنين المهدب Meracidium الذي يدخل إلى الحلزون النوعي والذي يعد الثوي الوسط الأول فيعطي أكياس بوغية تتحول كل خلية منها إلى جنين مذنب Cercaria يتوضع على أنواع من النباتات ومنها trapa natans يتغذى عليها في آسيا ) أو القشريات أو الأسماك (الثوي الوسط الثاني )
  3. وتحدث الإصابة عبر الطريق الهضمي تعبر كالعادة إلى الدوران وتتوضع الوريقات في الكبد أو الرئة أو الأمعاء .
  4. عدد البيوض 1000 بيضة باليوم (للوريقات بشكل عام )

الأعراض

  1. أهم الأعراض هي الميكانيكية وتكون بسبب التصاق الوريقات مكان توضعها مثل الزغابات المعوية وقد تحدث تخريشا وسمّية أو حتى أوراما غدية في المنطقة المصابة .
  2. قد تتكاثر الأنسجة المصابة بشكل عشوائي سليم أو غير سليم يتحول إلى سرطاني (بعبارة أخرى إن النسيج الحاوي على اليرقة يتليف إما تليفا سليما أو يتحول إلى سرطان ) .

الأعراض السريرية

مرحلة الإكتساح (أو الانتشار أو المرحلة الابتدائية )

  1. تبدأ من دخول الوريقات(المذنبة ) وحتى تصبح كهلة (هجمة شرى وحكة )
  2. تتميز بارتفاع حرارة(يشبه ارتفاع الحرارة في الحمى التيفية (أي افتراق نبض و حرارة)) صداع وتعرق وآلام معممة: ألم عضلي و ألم مفاصل ( Myalgy-Arthralgy ) وهذا ما يميزها عسر تنفس ( أزمة ربو ) .
  3. ارتفاع الحامضات في الإصابة بالوريقات يكون كبيرا يصل إلى 50-60 % (كما في الكيسة المائية العدارية ) .
  4. لإصابة الصفراوية : حيث تتوضع في الأقنية الصفراوية (ويكون ذلك بعد شهرين من الاكتساح ) :
  5. انسداد الأقنية حصيات أو ترسبات في الصفراء مميز أو بالتشخيص يرقان انسدادي التهابات كبدية وطحالية تتحول إلى تشمع وتشحم كبد .
  6. كم يمكن حدوث القولنجات(كريزات ألم أي نوبات ألم شديدة) وآلام كبدية وطحالية .
  7. إنتانات و أخماج من المشاركة الجرثومية .

التشخيص

(حالة سريرية ,قصة مرضية ,تشخيص مباشر , لا مباشر )

المرحلة الأولى

التشخيص مناعي( ارتفاع الغاما غلوبين حيث تنخفض بروتينات الدم وخاصة الألبومين ) وتشاخيص متممة (مثل ارتفاع الحامضات ) من الوارد و بشكل كبير استخدام الطرق الشعاعية.

المرحلة الثانية (مرحلة الصفراء ):

التشخيص المباشرأساسي عن طريق فحص البراز مجهريا والتحري عن البيوض (150 ميكرون ) نستخدم التكثيف في سائل التنبيب العفجي وفي الصفراء نبحث أيضا عن البيوض .

العلاج

Slide showing its internal organs
  1. دي هيدرو إيميتين بالميليغرامات
  2. فينانترولين كينون (اسم تجاري Entobex ) يعطى بجرعة 150-200 ملغ يوميا لعشرة أيام (المهم نعرف المقدار إذا كان بـ ملغ أو بـ غ )
  3. Biltricide واسمه العلمي Prazecontal

30 ملغ لكل كغ يوميا وذلك لعدة أيام

  1. في حال وجود حصيات أو ترسبات في الصفراء يجب إجراء عمل جراحي

انظر أيضا

قائمة الطفيليات (البشر)

المصادر


الكلمات الدالة: