سرمية دودية
| غمكين حسن ساهم بشكل رئيسي في تحرير هذا المقال
|
| سرمدية دودية Pinworm ICD 127.4 | |
|---|---|
| Pinworms (Enterobius vermicularis). | |
| التصنيف العلمي | |
| مملكة: | |
| Phylum: | |
| Class: | |
| Subclass: | |
| Order: | |
| Family: | |
| Genus: | Enterobius
|
| Species | |
السرمدية الدودية أو دودة الحرقص pinworm (genus Enterobius), also known as threadworm or seatworm نوع من الديدان الطفيلية. لونها أبيض وقطرها نحو المليمتر أو يزيد قليلا وطوله بين 4/3 - 2 سم. وهي كدودةالاسكارس تنتقل بيوضها عن طريق تناول غذاء أو شراب ملوث ببراز مصاب بها ولكنها بالإضافة يمكن أن تنتقل بواسطة الأيدي والملابس الملوثة بملامستها شرج المصاب حيث أن الأنثى بعد أن تمتلئ بالبيض تنحدر إلى الشرج لتبيض بين ثناياه أو أن ينفجر جسمها ويخرج منه البيض الذي يلتصق حول الشرج بسبب وجود مادة أسمنتية في قشرته. ومن أجل ذلك فإن هذه الدودة تختص دون سواها بإمكانية إعادة العدوى من ذات المريض وإليه (العدوى الذاتية), بسبب عادة قرض الأظافر كما يمكن نقلها للغير عن طريق السلام أو النوم في فراش الغير أو من الألبسة الداخلية الملوثة إن لامسها الفرد السليم بطريقة ما. والأنثى المنحدرة قد تجد طريقها إلى المهبل فتبيض فيه, أو تنتقل إلى الغشاء البطني (peritoneum), كما أن بيوض هذه الدودة لصغرها وخفتها يمكن نقلها بواسطة الغبار مما يجعل استنشاق مثل هذا الغبار طريقة لنقل العدوى.
والعدوى بهذه الدودة كثيرة الطرق وعلى غاية من السهولة, ومن أجل ذلك كان انتشارها في العالم يضارع انتشار أي دودة غيرها من الديدان الطفيلية حتى أصبحت منتشرة انتشار الدودة الحبلية في البلاد الحارة. وإصابة فرد واحد من أفراد العائلة الواحدة بهذه الدودة يكاد يكون دليلا على إصابة جميع أفراد العائلة. وإن بيض هذه الدودة لا يختلط بالبراز داخل الأمعاء كما هو الحال في غيرها من الديدان بل قد يختلط أو لا يختلط به أثناء التبرز, وعدم اختلاطه هو الغالب لأن البيوض بعامل احتواء قشرتها على مادة إسمنتية يصعب تحررها من جدار الشرج. والطريقة المثلى للتشخيص هي كشط ما حول الشرج بمجرد خشبي أو زجاجي وفحص ما يؤخذ تحت المجهر. والبيوض بعد ولادتها وهي ما تزال وحيدة الخلية لا تحتاج إلى فترة تتطور فيها إلى أجنة خارج الجسم لتصبح معدية, كما هو الحال في بيوض الإسكارس, بل وهي ما تزال طازجة تكون قابلة لنقل العدوى لأن تطورها من وحيدة الخلية إلى جنين فيرقة فدودة كاملة ممكن أن تتم داخل الأمعاء دون حاجة إلى فترة للحضانة الخلوية. ولما كانت العلاجات المعروفة تقاوم الدودة الكاملة وليس البيوض واليرقات فإن الطريقة الصحيحة للقضاء على العدوى هي الطريقة التدريجية وفي مدة لا تقل عن 10 أيام حيث أن هذه الفترة تكفي لتطور البيوض واليرقات إلى ديدان كاملة كما يحسن إعادة العلاج بعد أسبوعين أو ثلاثة.
الوصف
- تسبب داء الحرقص Oxyuriasisو تسمى أيضاً دقيقة الذيل أو الأقصورة أو الدبوسبة .
- منتشرة في العالم و تصيب الأطفال بشكل كبير عن طريق العدوى الذاتية(Aut infection) ويساعدها في ذلك أن البيوض التي تتوضع على فوهة الشرج تحتاج فقط عدة ساعات حتى تفقس و تعطي يرقات تدخل مرة أخرى للجسم .
- تكون البيوض في الوسط الخارجي و غالباً العدوى ذاتية و ممكن أن تبقى بالوسط الخارجي عدة أيام (3 _ 4 أيام ) و لكن إذا بقيت 5 أيام يمكن أن تفقس و تعطي يرقات أما إذا كان الوسط مناسبا فهي لا تحتاج سوى لـِ 5 ساعات و كون هذا الوسط مثلاً على الجسم في منطقة الإلية ، بعد ذلك تدخل اليرقة إلى منطقة الصائم و تنمو وتتطور لتعطي ديدان ناضجة (1 _ 2 سم) قطرها أقل من 1 ملم و لونها أبيض زهري (رفيعة) ممكن أن تظهر في الألبسة الداخلية للأطفال ، بعد التلقيح يموت الذكر و تهاجر الأنثى إلى فوهة الشرج ليلاً لتضع البيوض مما يسبب حكة شديدة و هي أهم الأعراض ) .
- تبيض الإناث كميات قليلة من خمسة إلى خمسة عشر ألف بيضة /24 ساعة ، وتكون البيوض شفافة ( بينما الأسكاريس 200 ألف بيضة / 24ساعة ) .
- وهو مهم في التشخيص و في فحص البراز نادراً أن يخرج بيوض و لكن نستطيع أن نفحص بطريقة الشريط اللاصق التي ذكرت سابقاً .
- البيوض لها غلاف بكتيني لزج و لاصق تلتصق به على فوهة الشرج .
- حتى تصبح اليرقة ناضجة Adult تحتاج من شهرين إلى ثلاثة أشهر و تصبح عندها قادرة على إعطاء البيوض.
أعراض الإصابة
غثيان ، إقياء ، تطبل بطن ، ألم بطني .
- حكة شرجية شديدة تسبب تسحجات وجروح و قروح و نزوف دموية ( ليلاً و خلال النوم).
- التهابات إذا كانت الإصابة شديدة
- ممكن أن تنتقل إلى الرحم أو المبيض أو البوقين فتسبب التهابات مجاري بولية و تناسلية أو سلس بولي .
- اضطرابات بالغائط ، اضطرابات بالطمث عند النساء ، التهاب موثة أو التهاب رحم.
- اضطرابات عصبية حسية أو حركية و حواسية و نفسية كالتي ذكرناها قبل قليل.
التصنيف
الأعراض الظاهرية
التوزيع
دورة حياتها
الانتقال
| Enterobiasis (pinworm infection) | |
|---|---|
| التبويب والمصادر الخارجية | |
| ICD-10 | B80. |
| ICD-9-CM | 127.4 |
| DiseasesDB | 13041 |
| Patient UK | فشل عرض الخاصية P1461: لم يتم العثور على الخاصية P1461. سرمية دودية |
| MeSH | D017229 |
العدوى
الأعراض
التشخيص
عيانياً ( بالسلوفان اللاصق ) لرؤية البيوض و ممكن رؤية البيوض في البراز و ممكن أن نجدها عند الإناث الصغار بفحص الراسب البولي و قد تتواجد تحت الأظافر و لفحصها نقص الظفر و نقوم ببرده من الداخل على صفيحة ثم نضيف ماءات البوتاسيوم 5 _ 10% قد تلهب أو تترك نصف ساعة لإزالة المواد الكيتينية ثم تفحص تحت المجهر .
العلاج
- فيرميزول ، Fluvermal 50 _ 150 ملغ يومياً
- أصبغة بوفانيل Povanyl و هي نوعية للحرقص بكميات كيبرة 2 غ للكبار و 1 غ للصغار
- لهذه الأصبغة آثار جانبية كريهة كتلوث الثياب
ٍٍ
الوقاية
معرض الصور
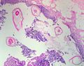
Pinworms are sometimes diagnosed incidentally by pathology. Micrograph of pinworms in the appendix. H&E stain.
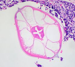
High magnification micrograph of a pinworm in cross section in the appendix. H&E stain.
Enterobius vermicularis egg under a light microscope.
Pinworms are sometimes diagnosed incidentally by pathology. Micrograph of male pinworm in cross section. Alae (blue arrow), intestine (red arrow) and testis (black arrow). H&E stain.
Pinworm eggs are easily seen under a microscope.
انظر أيضا
الهوامش
المصادر
- Hasegawa H, Ikeda Y, Fujisaki A; et al. (2005). "Morphology of chimpanzee pinworms, Enterobius (Enterobius) anthropopitheci (Gedoelst, 1916) (Nematoda: Oxyuridae), collected from chimpanzees, Pan troglodytes, on Rubondo Island, Tanzania". The Journal of Parasitology. 91 (6): 1314–7. doi:10.1645/GE-569R.1. PMID 16539010.
{{cite journal}}: Explicit use of et al. in:|author=(help); Unknown parameter|month=ignored (help)CS1 maint: multiple names: authors list (link) - "Pinworm". Encyclopædia Britannica. Retrieved 2009-04-08.
- "Enterobiasis". Merriam-Webster's Medical Dictionary. Merriam-Webster. Retrieved 2009-04-08.
- "Oxyuriasis". Merriam-Webster's Medical Dictionary. Merriam-Webster. Retrieved 2009-04-08.
- Totkova A, Klobusicky M, Holkova R, Valent M (2003). "Enterobius gregorii--reality or fiction?" (PDF). Bratislavské Lekárske Listy. 104 (3): 130–3. PMID 12940699.
{{cite journal}}: CS1 maint: multiple names: authors list (link) - "Enterobius". NCBI taxonomy database. National Center for Biotechnology Information, U.S. National Library of Medicine. 2009. Retrieved 2009-04-08.
- "Enterobiasis". DPDx. Division of Parasitic Diseases, Centers for Disease Control and Prevention. Retrieved 2009-04-08.
- Nakano T, Okamoto M, Ikeda Y, Hasegawa H (2006). "Mitochondrial cytochrome c oxidase subunit 1 gene and nuclear rDNA regions of Enterobius vermicularis parasitic in captive chimpanzees with special reference to its relationship with pinworms in humans". Parasitology Research. 100 (1): 51–7. doi:10.1007/s00436-006-0238-4. PMID 16788831.
{{cite journal}}: Unknown parameter|month=ignored (help)CS1 maint: multiple names: authors list (link) - Hugot JP (1983). "[Enterobius gregorii (Oxyuridae, Nematoda), a new human parasite]". Annales de Parasitologie Humaine et Comparée (in French). 58 (4): 403–4. PMID 6416131.
{{cite journal}}: CS1 maint: unrecognized language (link) - Hasegawa H, Takao Y, Nakao M, Fukuma T, Tsuruta O, Ide K (1998). "Is Enterobius gregorii Hugot, 1983 (Nematoda: Oxyuridae) a distinct species?". The Journal of Parasitology. 84 (1): 131–4. doi:10.2307/3284542. PMID 9488350.
{{cite journal}}: Unknown parameter|month=ignored (help)CS1 maint: multiple names: authors list (link) - Gutiérrez, Yezid (2000). Diagnostic pathology of parasitic infections with clinical correlations (PDF) (Second ed.). Oxford University Press. pp. 354–366. ISBN 0195121430. Retrieved 21 August 2009.
- Cook, Gordon C; Zumla, Alimuddin I (2009). Manson's tropical diseases (Twentysecond ed.). Saunders Elsevier. pp. 1515–1519. ISBN 978-1-4160-4470-3. Retrieved 18 November 2009.
{{cite book}}: CS1 maint: multiple names: authors list (link) - "B80: Enterobiasis". International Statistical Classification of Diseases and Related Health Problems (ICD) 10th Revision. World Health Organization. 2007. Retrieved 2009-12-05.
- Cook GC (1994). "Enterobius vermicularis infection". Gut. 35 (9): 1159–62. doi:10.1136/gut.35.9.1159. PMC 1375686. PMID 7959218.
{{cite journal}}: Unknown parameter|month=ignored (help) - Garcia, Lynne Shore (2009). Practical guide to diagnostic parasitology. American Society for Microbiology. pp. 246–247. ISBN 1-55581-154-X. Retrieved 2009-12-05.
- Burkhart CN, Burkhart CG (2005). "Assessment of frequency, transmission, and genitourinary complications of enterobiasis (pinworms)". International Journal of Dermatology. 44 (10): 837–40. doi:10.1111/j.1365-4632.2004.02332.x. PMID 16207185.
{{cite journal}}: Unknown parameter|month=ignored (help) - Caldwell JP (1982). "Pinworms (Enterobius Vermicularis)". Canadian Family Physician. 28: 306–9. PMC 2306321.
{{cite journal}}: Unknown parameter|month=ignored (help) - Vanderkooi M (2000). Village Medical Manual (5th ed.).
وصلات خارجية
- Brown MD (2006). "Images in clinical medicine. Enterobius vermicularis". The New England Journal of Medicine. 354 (13): e12. doi:10.1056/NEJMicm040931. PMID 16571876.
{{cite journal}}: Unknown parameter|month=ignored (help) - Experiences about Threadworm (Patient UK forum)
- Yahoo! Health article on Transparent adhesive (cellophane) tape test for pinworms