غرن عظمي
| الغرن العظمي Osteosarcoma | |
|---|---|
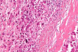
| صورة مجهرية مكبرة لساركوما عظمية (وسط ويمين الصورة) بجانب نسيج طبيعي عظمي (يسار الصورة): The top-right of the image has poorly differentiated tumor. Osteoid with a high density of malignant cells is seen between the non-malignant bone and poorly differentiated tumor (H&E stain). | |
| التخصص | علم الأورام |
الغرن العظمي أو الساركومة العظمية osteosarcoma، أو الورم الغرني العظمي osteogenic sarcoma، هو ورم سرطاني يصيب العظام. ورغم كونه نادراً، فإنه النوع الأكثر شيوعاً لسرطان العظام.[1] ، ويبدأ الغرن العظمي في الخلايا التي تُشكل العظام. وفي حالات بالغة الندرة، تحدث في الأنسجة الرخوة خارج العظام. توجد الساركومة العظمية أكثر ما توجد في العظام الطويلة — بشيوع أكبر في الساقين، ولكن في الذراعين أحياناً — ولكنها قد تنشأ كذلك في أي عظمة.
تنتشر الساركومة العظمية بين المراهقين والشباب، ولكنها يمكن أن تُصيب أيضاً الأطفال الصغار والبالغين الأكبر سناً.[2]
عادة ما يتضمن العلاج: العلاج الكيميائي، والجراحة. عادة ما لا يكون العلاج الإشعاعي فعالاً في معالجة الساركومة العظمية، ومع ذلك تُجري الدراسات على استخدام أساليب محسنة جديدة للإشعاع، مثل العلاج الإشعاعي بالپروتونات. أحرز علاج الساركومة العظمية تقدماً كبيراً خلال السنوات الأخيرة، وتعتمد التوقعات المستقبلية لسير المرض وقرارات العلاج على المكان الذي تبدأ منه الساركومة العظمية، وحجم الورم، ونوع الساركومة العظمية ودرجتها، وما إذا كان السرطان قد انتشر. وبعد إتمام العلاج، يحتاج المرضى إلى متابعة مدى الحياة تحسباً للتأثيرات المتأخرة المُحتملة للعلاج الكيميائي المكثف.
الأعراض والعلامات
- آلام العظام: إن الأعراض المرضية الأكثر شيوعاً هو الألم الطفيف حتى المتوسط. يكون الألم في البداية متقطعًا، ولكن مع الزمن يصبح أكثر استمرارًا، ويظهر في معظم ساعات اليوم. يمكن، بشكل عام، الشعور بكتلة (Lump) صلبة وثابتة، والتي تستمر بالتضخم، ويترافق بانتفاخ الأنسجة الرخوة حولها، في بعض الأحيان تظهر حمى واحمرار موضعي.
- الكدمات: تقوم، في بعض الأحيان، كدمة على مكان الورم بشد انتباه المريض، لأن الألم الذي يعاني منه أكبر من أن تسببه كدمة كهذه. إن متوسط الزمن الذي يمر منذ بدء ظهور أعراض المرض وبين التشخيص هي 3-6 أشهر.[3]
- النقائل الرئوية والعظمية: إن المسار المرضي لسركومة العظام التي لم يتم علاجها، هو ظهور النقائل الرئوية (Lung Metastasis) والعظمية (Bone metastasis) وموت المريض بفترة تتراوح بين 18-24 شهرًا. إن كل حالة يكون فيها شك بوجود سَارْكوما العظام، يجب التوجه لطاقم مهني ومختص بعلاج مثل هذه الحالات، الذي يعمل بوحدة مشتركة بين جراحة العظام وطب الأورام. وهذا الطاقم يضم: طبيب أورام مختص بحالات السَّرْكومة، جَرَّاح عظام مختص بجراحة الأورام العظمية، اختصاصي الباثولوجيا (Pathologist)، خبير الأشعة (Radiologist)، طبيب التخدير المتخصص في علاج الألم، المُعالِجُ الطبيعي وممرضة.
- إصابة العظام أو كسرها دون سبب واضح.
- حدوث تورم بالقرب من العظمة.
نظراً لأن هذه الأعراض فد تختلط مع غيرها من المشكلات الصحية، مثل الإصابات الرياضية، أحيانًا يحدث تأخير في الحصول على المساعدة الطبية.
الأسباب
إن سبب الإصابة بالساركومة ليس واضحاً ويبدو أن معظم الحالات تحدث بشكل منقطع، ولكن قد تزيد بعض العوامل من الخطر.
عوامل الخطر
تزيد تلك العوامل من خطر الساركوما العظمية:
- التعرض السابق للعلاج الإشعاي.
- حالات مرضية محددة موروثة أو جينية، بما في ذلك ورم الشبكية ومتلازمة بلوم ومتلازمة لي فروميني ومتلازمة روثموند طومسون وفقر دم دياموند بلاكفان ومرض باجيت ومتلازمة فيرنر الوراثيين.
التشخيص
عادة ما تتضمن الخطوات الأولى في إجراء تشخيص فحصًا بدنيًا ومناقشة للتاريخ الطبي واختبارات.
وقد يوصي الطبيب بإجراء واحد أو أكثر من اختبارات التصوير هذه لتحديد موضع السرطان ومعرفة ما إذا كان قد انتشر:
- الأشعة السينية
- التصوير المقطعي المحوسب (CT)
- التصوير بالرنين المغناطيسي (MRI)
- التصوير المقطعي بالإصدار البوزيتروني (PET)
- فحص العظام
الخزعة
قد يوصي الطبيب بإجراء إزالة لعينة من الأنسجة (خزعة) من الورم لفحصها في المختبر. يُظهر الاختبار ما إذا كانت الأنسجة مصابة بالسرطان أم لا، وكذلك نوع السرطان. كما يكشف الاختبار أيضًا عن درجة الإصابة بالسرطان، الأمر الذي يساعد الأطباء في معرفة مدى خطورة السرطان.[4]:
تتضمن أنواع إجراءات الخزعة المستخدمة في تشخيص الساركوما العظمية ما يلي:
- خزعة بالإبرة. يقوم الطبيب بإدخال إبرة رفيعة في الجلد ويوجهها نحو الورم. تستخدم الإبرة للتخلص من قطع صغيرة من النسيج من الورم.
- الخزعة الجراحية. يجري الطبيب شقوقًا في الجلد ويزيل الورم بأكمله (الخزعات الاستئصالية) أو جزءًا من الورم (خزعة اقتطاعية).
يتطلب تحديد نوع الخزعة المطلوب وتفاصيل الطريقة السليمة لإجرائها تخطيطًا دقيقًا من الفريق الطبي. يحتاج الأطباء إلى إجراء الخزعة بطريقة لن تتداخل مع الجراحة المستقبلية لإزالة السرطان. لهذا السبب، اطلب من طبيبك الإحالة إلى فريق من الخبراء من ذوي الخبرة الواسعة في علاج الساركوما العظمية قبل إجراء الخزعة.
بعد التشخيص، يلزم تحديد مدى (مرحلة) انتشار السرطان — ما إذا انتشر في إجزاء أخرى من الجسم أم لا وكذلك حجم انتشاره. لا تنتشر الساركوما العظمية الموضعية خارج تأصلها أو الأنسجة المجاورة. تنتشر الساركوما العظمية النقيلية إلى أجزاء أخرى من الجسم. يُمكّنك التعرّف على مرحلة السرطان والعوامل الأخرى من اتخاذ الخيارات العلاجية اللازمة.
العلاج
على مر السنوات، تم إحراز تطور كبير في مجال علاج الساركوما العظمية. عادةً ما يشمل العلاج جراحة استبقاء الأطراف والعلاج الكيميائي، ولكن هناك خيارات أخرى.
- الجراحة: ويتمثل هدف الجراحة في إزالة الخلايا السرطانية، ولكن يقوم الجراحون أيضًا بإجراء عمليات للحفاظ على وظائف الأعضاء والحد من حالات العجز. ويعتمد نطاق جراحة الساركوما العظمية على عدة عوامل، مثل حجم الورم وموقعه وعمر الشخص.
جراحة الاستبقاء على الأطراف. تركز جراحة الساركوما العظمية في معظم الحالات على إزالة الورم واستبقاء الطرف للحفاظ على وظيفته. ويُحدد إذا ما كان هذا ممكنًا، جزئيًا، على مدى انتشار السرطان وحجم الكتلة العضلية والأنسجة التي يلزم إزالتها.
- البتر بفضل التطورات في مجال جراحة الاستبقاء على الأطراف، تقلصت الحاجة إلى إجراء عمليات بتر (إزالة طَرَف أو جزء منه) على مر السنوات. إذا كان إجراء عملية البتر ضروريًا، فإن التقدم المُحرز في مجال المفاصل التعويضية من شأنه تحسين النتائج والوظائف بشكل كبير.
- تبديل استخدام الأعضاء (Rotationplasty): تستخدم هذه الجراحة في بعض الأحيان للأطفال الذين لا يزالون في طور النمو، ويقوم فيها الجراح بإزالة الورم والمنطقة المحيطة به، بما في ذلك مفصل الركبة. ويتم لف القدم والكاحل ويقوم الكاحل بوظيفة الركبة. ويتم استخدام طرف صناعي للمنطقة السفلية من الساق والقدم. عادةً ما تمكِّن النتائج الشخص من القيام بالأنشطة البدنية والرياضة والحياة اليومية بشكل جيد للغاية.
- العلاج الكيميائي: يستخدم العلاج الكيميائي الأدوية لقتل الخلايا السرطانية. وغالبًا ما يوصي الأطباء باستخدام العلاج الكيميائي قبل جراحة الساركوما العظمية، لتقليل حجم الورم، واستخدامه بعد الجراحة لقتل أي خلايا سرطانية باقية.
- العلاج الإشعاعي في حالات محددة: يستخدم العلاج الإشعاعي حزمًا عالية الطاقة، مثل الأشعة السينية والبروتونات، لقتل الخلايا السرطانية. على الرغم من أن الإشعاع لا يُستخدم عادةً بسبب قلة فعاليته في علاج الساركوما العظمية، هناك أشكال جديدة من العلاج الإشعاعي تخضع للدراسة وقد يتم استخدامها نادرًا.
- التجارب السريرية: التجارب السريرية هي دراسات للبحث عن طرق جديدة لعلاج السرطان. تنتج التطورات العديدة في مجال علاج سرطان الأطفال، بما في ذلك الساركوما العظمية، من التجارب السريرية التي تجريها مجموعة أورام الأطفال (Children's Oncology Group)، والتي تمتلك أكثر من 200 مؤسسة طبية مشاركة من الولايات المتحدة ودول أخرى.
المضاعفات
يمكن أن تنتشر الساركوما العظمية من المكان التي بدأت فيه إلى مناطق أخرى، مما يجعل العلاج والتعافي أكثر صعوبة. غالبًا ما تكون الجراحة التي تستئصل الورم وتتجنب الطرف هي النمط المعتاد. ولكن قد يحتاج بعض الأشخاص إلى بتر الجزء المُصاب من الطرف ثم يحتاجون إلى تعلم استخدام الطرف الاصطناعي (البديل الاصطناعي).
كما هو الحال مع أنواع أخرى من السرطان الخطير، يمكن أن يسبب العلاج الكيميائي العنيف للساركوما العظمية آثارًا جانبية كبيرة على المدى القصير والطويل على حد سواء. يتخذ فريق الرعاية الصحية خطوات لعلاج وإدارة هذه الآثار بأفضل طريقة ممكنة. ومن المهم لك التعرف على ما يجب عليك الانتباه له والتواصل مع فريقك لإطلاعهم على أي مخاوف.
الوقاية
لا توجد طريقة معروفة للوقاية من الساركوما العظمية، ومع ذلك، هناك بعض العوامل، مثل العلاج الإشعاعي السابق أو بعض الحالات الوراثية تزيد من المخاطر. ومع ذلك، فإن وجود عامل خطر لا يعني بالضرورة أنك ستصاب بالساركوما العظمية. ولكن يجب فحص أي علامات أو أعراض في أقرب وقت ممكن.
الحيوانات
في 8 فبراير 2019، اكتشف خبراء متحف التاريخ الطبيعي في برلين أقدم ورم سرطاني في عظم سلحفاة متحجرة، عمرها نحو 240 مليون سنة. بينت نتائج الدراسة أن أحد أسلاف السلاحف المعاصرة، والذي عاش في العصر الترياسي، كان مصاباً بورم سرطاني في عظم الفخذ، يتوافق مع ساركومة العظام التي تصيب البشر حالياً. ويتكون هذا النوع من الأورام على سطح العظم، ويتميز بسرعة نموه وانتشاره، وظهور بؤر أورام ثانوية. يذكر أنه في عام 2016، أعلنت مجموعة بحث دولية برئاسة علماء جامعة ويتواترسراند في جمهورية جنوب إفريقيا، عن اكتشافها أقدم ورم سرطاني في عظم قدم عمرها 1.7 مليون سنة، ما مثل حينها أقدم دليل على وجود السرطان في الماضي السحيق. ووفقاً للباحثين، فإن هذا الاكتشاف هو دليل على أن السرطان ليس نتيجة نمط الحياة المعاصرة وتأثير الوسط المحيط.[5]
المصادر
- ^ Ottaviani G, Jaffe N (2009). The epidemiology of osteosarcoma. In: Jaffe N. et al. "Pediatric and Adolescent Osteosarcoma". Vol. 152. New York: Springer. pp. 3–13. doi:10.1007/978-1-4419-0284-9_1. ISBN 978-1-4419-0283-2. PMID 20213383.
{{cite book}}:|journal=ignored (help) - ^ "Osteosarcoma". US National Library of Medicine. PubMed Health. 2013.
- ^ ساركوما العظام، وب طبيب
- ^ الساركوما العظمية، مايو كلينيك
- ^ "اكتشاف أقدم ورم سرطاني". روسيا اليوم. 2019-02-08. Retrieved 2019-02-08.
قراءات إضافية
- Jaffe, N. (2010). Pediatric and Adolescent Osteosarcoma. New York: Springer. ISBN 978-1-4419-0283-2. Osteosarcoma research: past, present and future.
وصلات خارجية
| Classification | |
|---|---|
| External resources |
- غرن عظمي at the Open Directory Project
- National Cancer Institute—patient information on osteosarcoma