التصلب المتعدد
| Demyelinization by MS. The CD68 colored tissue shows several macrophages in the area of the lesion. Original scale 1:100 | |
| ICD-10 | G35. |
| ICD-9 | 340 |
| OMIM | 126200 |
| DiseasesDB | 8412 |
| MedlinePlus | 000737 |
| eMedicine | neuro/228 oph/179 emerg/321 pmr/82 radio/461 |
| MeSH | D009103 |
التصلُّب الأنسجة المتعدد أو التصلب اللويحي Multiple sclerosis هو مرض يصيب الجهاز العصبي، وقد يستمر سنوات عديدة ويتسبب في نهاية الأمر في الإصابة بعاهات خطيرة، تشمل شللاً في الأرجل وفقداناً جزئياً في البصر. ويصيب هذا المرض النساء أكثر من الرجال، ويظهر بصورة رئيسية في المناطق الباردة. وتظهر أعراضه على أغلب المرضى من سن 20 إلى 45 سنة. ولا يمكن علاج هذا المرض. يتم تصلُّب الأنسجة المتعدد بالتفكك التدريجي للغُمد النخاعي الذي يحيط بالأعصاب في الدماغ والحبل الشوكي. تظهر عدة مناطق صغيرة متصلبة تسمى اللويحات (البلاك) بصورة متفرقة على الغُمد النخاعي، وتعرقل الوظائف الطبيعية لمسارات الأعصاب.
إن مخ الإنسان مثل جهاز الكمبيوتر الذي يرسل الأوامر إلى باقي الجسم ، للقيام بمهامه و الحبل الشوكي متصل بالمخ مثل السلك الكهربائي حيث تنتقل الأوامر من المخ عبر الحبل الشوكي إلى الأطراف .و يتكون الجهاز العصبي من ملايين الخلايا الصغيرة والتي نسميها الخلايا العصبية وهذه الخلايا تترابط مع بعضها عبر قوائم صغيرة وأطراف دقيقة جداً تنقل الشحنات الكهربائية فيما بين ملايين الملايين من الخلايا .هذه الأطراف تكون مغطاة بمادة عازلة مثل المادة التي تغطي أسلاك الكهرباء وتعزلها تسمى ( مايلين ) عندما يحدث الالتهاب في مرض التصلب المتكرر فإن مادة المايلين لا تعمل جيدا وهذا يؤثر على كمية إرسال الشحنات الكهربائية. وإذا تكررت الالتهابات في هذه الأطراف وفقدت مادة المايلين فإن هذا العجز في نقل الشحنات الكهربائية قد يبقى مستمراً. والتصلب المتعدد، هو مرض غير معدي، وغير وراثي، ولا يؤثر على أعضاء الجسم الأخرى خارج الجهاز العصبي.
التسمية
هذا المرض لم يكن له اسم معروف في الطب العربي القديم أو الطب الشعبي لأنه لم يكتشف إلا بعد تطور العلم وكلمة (MULTIPLE SCLEROSIS) وهي تختصر بحرف (MS) هي كلمة لاتينية وحتى بعض مرضى الغربيين لا يعرفون ترجمتها الحرفية وتختلف الترجمة الحرفية فبعضهم يسميها ( التصلب المتعدد ) وبعضهم يسميها ( الالتهاب المتكرر).
التشخيص
الأعراض
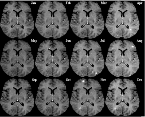
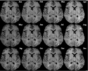
وتختلف أعراض التصلب المتعدد وفقًا للمناطق المصابة من الدماغ والحبل الشوكي. وبمرور الزمن يتزايد تكوّن اللويحات في الغمد النخاعي للمريض، مما يتسبب في ظهور أعراض جديدة. ويشخِّص الأطباء التصلب المتعدد بصفة رئيسية بناء على الأعراض، وهناك تقنية تسمى التصوير بالرنين المغنطيسي النووي يمكن أن يساعد في التشخيص، وذلك بإعطاء صور اللويحات داخل الدماغ.
وعادة ما تظهر الأعراض الأولية فجأة، ولكن بعض الحالات تبدأ ببطء، ثمَّ تزداد الحالة سوءًا بالتدريج. وقد يصاب المريض بازدواج الرؤية وسير غير ثابت الخطى، وفقدان التوازن، وضعف في الذراعين أو الساقين. وقد تُصاب الأصابع بالخدَر أو الوخز الخفيف، بالإضافة إلى حركات تشنجية للذراعين أو الساقين أو الرأس. وبعد عدة أسابيع تقل حدَّة هذه الأعراض أو تختفي تمامًا.
وتتحسن صحة المريض فترات محدودة، تتبعها أعراض غير متوقَّعة تسوء بصفة مستمرة. ويصاب حوالي ثلث مرضى التصلب المتعدد بعاهات خطيرة، ولكن القليل منهم يموت بسببه.ولايعرف الأطباء سبب الإصابة بهذا المرض. ويعتقد بعض الباحثين أن سببه فيروس يصيب الأطفال قبل سن الخامسة عشرة. وقد يسبب الفيروس رد فعلٍ شاذًا في جهاز المناعة. وعادة ما يحمي الجسم نفسه من الأمراض بإنتاج مواد تُسمَّى الأجسام المضادة تقاوم العدوى. ولكنْ في حالة التصلب المتعدد، قد يسمح وجود عيب في جهاز المناعة لخلايا الدم البيضاء بتدمير الغمد النخاعي.
والأعراض الرئيسية للمرض هي:
- ضعف النظر المؤقت في إحدى العينين.
- اختلال التوازن سواء في المشي أو في حركة اليدين.
- اختلال النطق.
- اختلال التحكم في السبيلين.
- ضعف مؤقت في أحد الأطراف.
تطور المرض
لا يوجد محددات لتطور المرض، وأغلب المرضى في بدايات السنوات الأولى من المرض تكون نوبات من النوع البسيط وتزول في غضون أيام أو أسابيع قليلة ثم مع مضي السنين قد تزداد حدة النوبات وقد تؤدي ببعض المرضى إلى التدهور في القدرات الحركية والقوة الفعلية هناك تفاوت كبير في تطور الأعراض بين شخص وآخر .الدراسات أثبتت أن حوالي 70 % من المرضى تستمر حياتهم بطريقه جيده في اعمالهم و حياتهم العائلية .
انتشار المرض
أن هذا المرض شائع جداً في كل أنحاء العالم وخصوصاً في الدول التي تقع شمال الكرة الأرضية فلو نظرنا إلى بلد مثل كندا والذي يقدر سكانه بـ 30 مليون فإنه يوجد في حوالي 50 ألف شخص مصاب بهذا المرض وكان معتقد في السابق أن هذا المرض قليل في دول الشرق الأوسط ولكن نرى نحن أطباء المخ والأعصاب أن هناك انتشاراً كبير لهذا المرض وخصوصاً في سن الشباب ولا يعرف السبب وراء الزيادة إلى هذا الوقت .
إن العلاقة بين الطبيب والمريض مهمة خصوصاً هذا المرض لذلك من الأفضل أن يلتزم بالمتابعة مع طبيب واحد وفي مستشفى واحد حتى تكون العلاقة وثيقة ويتم التعرف على المصاعب التي يواجهها المريض وسوف يبذل طبيب المخ والأعصاب جهده لمساعدة المريض من جميع النواحي بقدر المستطاع . إن التنقل بين المستشفيات قد لا يجر وراءه إلا التعب على المريض وعائلته .
الأسباب
السبب لا يعرف إلى هذا الوقت ولكن الأبحاث التي يصرف عليها ملايين الملايين من الدولارات قد تؤدي إلى اكتشاف السبب في السنوات القادمة . أن هذا المرض نتيجة خلل في المناعة بحيث أن المسبب يتلاعب بمناعة الجسم ويجعلها تهاجم جسم بعض الخلايا الطبيعية في مخ الإنسان وحبله الشوكي . أحد النظريات ان المسبب فيروس ولكن لم يتم اثبات هذا .النظريه الاخرى ان هناك عوامل بيئية قد تسببه في الأغلبية يصيب هذا المرض الشباب والشابات ما بين سن العشرين والأربعين . ولكن هناك حالات نادرة قد يصيب بها الأطفال وقد يصيب كبار السن . بصورة عامة فإن النساء يصبن بهذا المرض أكثر من الرجال بحوالي الضعف .
لمرض التصلب المتكرر لا يقتل الإنسان بصورة عامة . أكثر المرضى المصابون بهذا المرض يعيشون بنفس العمر تقريباً الذي يعيشه الإنسان الغير مصاب بهذا المرض . الفحص السريري هو الأساس وفي العصر الحاضر أصبح أهم فحص يثبت التشخيص بالإضافة للفحص السريري هو التصوير بالأشعة المغناطيسية ((MRI إن الأشعة المغناطيسية تعطي صورة دقيقة للمخ والحبل الشوكي وتبين الأماكن التي أصيبت بالالتهابات بحيث يراها الطبيب كنقط بيضاء على الأشعة . وفي أحيان معينة قد يحتاج المريض إلى عمل فحص للعينين أو أخذ وخزة يعني إبرة من السائل السحائي من ظهر المريض لفحص بعض المواد.
التأثيرات على الحياة اليومية
هذا المرض لا يؤدي إلى الإعاقة في أكثر المرضى . صحيح أنه يجب على المريض أن يتوقع أن حياته سوف تتأثر بصورة أو بأخرى لكن بصورة عامة كثير من المرضى يعيشون حياة طيبة ويتزوجون وينجبون ويمارسون حياتهم الاجتماعية والدينية بطريقة مقبولة وسعيدة لذلك فإن التفهم من قبل العائلة والأصدقاء هو أهم شيء . هناك أنواع يجب على المريض أن يعرف إلى أي نوع ينتمي حتى يستطيع مناقشة طبيبه والتنبؤ بالنوع لا يمكن أن يكون في بداية التشخيص ولكن بعد مضي سنة أو سنتين وهذه الأنواع هي
- النوع المتكرر : الذي يذهب ويأتي وهو الشائع في 70 % من المرضى وهذا النوع يتكون من نوبات تأتي وتؤثر على أحد الوظائف والأعراض ثم تختفي ليعود الإنسان تقريباً لحالته الطبيعية ثم تعاوده النوبات وهكذا ولا يمكن التنبؤ بعدد النوبات ولكن أكثر المرضى يأتيه من نوبتين إلى ثلاث نوبات خلال السنة الواحدة .
- النوع المتزايد من البداية : وهؤلاء نسبتهم 10 – 15 % . في هذا النوع لا يكون هناك نوبات بل هناك تدهور مستمر من البداية من غير أن يكون هناك فترات نقاهة وتحسب بينهم فيبدأ المريض بإصابة ثم بإصابة ثانية ثم ثالثة من غير أن يكون هناك عودة إلى حالته المستقرة بين هذه النوبات .
- النوع المتدهور بعد المستقر : في هذا النوع يكون المريض غالباً قد مضى عليه عدة سنوات كثيرة وهو في حالة مستقرة بحيث لا يوجد إلا نوبات قليلة كل سنة ثم يعود إلى حالته الطبيعية ولكن بعد مضي عشر أو أكثر من السنوات تبدأ زيادة في النوبات من غير أن تتحسن الحالة بينهما .
- النوع البسيط : وهذا يحدث في حوالي 15% بحيث يكون هناك نوبات قليلة ويكون بينها سنوات كثيرة من الشفاء والنقاهة وهؤلاء المرضى هم أسعد المرضى حالاً مقارنة بالباقين
العلاج
لا يوجد حتى الآن شفاء لهذا المرض وإن كانت الأبحاث في كل دول العالم وخصوصاً الدول المتقدمة تبذل الملايين لاكتشاف علاج هذا المرض . إما إذا كان المقصود هو علاج الأعراض وتقليل النوبات فنعم يوجد هناك علاجات جديدة لم تظهر إلا من عام 1995م حيث يوجد الآن أربع أنواع أثبتت هذه العلاجات فعاليتها في تقليل احتمالية النوبات بحوالي 30 % بمعنى آخر أنها تقلل من إصابة النوبات بالثلث تقريباً .
من المهم أن يعرف المريض أن هذه الأدوية لا تمنع حدوث النوبات ولكنها تقلل من احتماليتها كما أنه لم يثبت إلى الآن أن هذه العلاجات سوف تقلل من تدهور المريض في المستقبل . أن الذي يأخذ هذه الأدوية تقل لديه نقاط الالتهاب كما نراها في الأشعة بدرجة كبيرة أكبر مما نراه في واقع المريض ، بمعنى آخر عندما ننظر إلى الأشعة نجد أن نسبة الالتهابات قد قلت في المخ والحبل الشوكي وإن كان المريض لا يحس بأي فارق أو بفارق قليل . هذه العلاجات عندما يأخذها المريض يجب أن يلتزم بأخذها لسنوات طويلة لذلك فإن اتخاذ القرار بالموافقة على أخذ العلاج يجب أن يكون عن دراسة ومناقشة كاملة مع طبيب المخ والأعصاب حول الفوائد والسلبيات . إن التزام المريض بأخذ العلاج يعني أنه مستعد لأخذ حقن تحت الجلد حوالي ثلاث مرات في الأسبوع بدون توقف .
يوجد آثار جانبية ولكنها خفيفة وتذهب مع الوقت وهذه الآثار الجانبية تشمل بعض الآلام في منطقة أخذ الإبر أو بعض انتفاخات مؤقتة كذلك بعض الإحساس بالصداع والإرهاق ولكن هذه تستجيب للعلاج بالمسكنات كالفيفادول. يوجد علاجات مساعدة عندما يكون هناك أعراض معينة فمثلاً بعض المرضى يشتكي من صعوبة في التحكم في البول وهذه لها علاجات مساعدة. إذا كان المريض يشعر ببعض الأعراض النفسية مثل الاكتئاب أو القلق .
عقاقير الاكتئاب وأمراض القلب
في 1 أبريل 2015، أعلنت جامعات بريطانية عن عزمها إجراء اختبار على عقاقير الاكتئاب وأمراض القلب المتوفرة بهدف إيجاد علاجات لمرض التصلب المتعدد من بين أدوية موجودة بالفعل. ويأمل الأطباء أن تكون الأدوية اللازمة لعلاج هذا المرض موجودة بالفعل، لكن لم تختبر من قبل على التصلب المتعدد. وسيشارك أكثر من 400 شخص في هذه التجربة بجامعة لندن وجامعة أدنبرة.[1]
ستعمل هذه التجربة على اختبار سلامة وفعالية ثلاثة عقاقير تستخدم في حالات أخرى:
- أميلوريد – مرخص لعلاج أمراض القلب
- فلوكستين – يستخدم في حالات الاكتئاب
- ريلوزول – يستخدم لعلاج الأمراض العصبية الحركية
وجرى تحديد هذه العقاقير بعد مراجعة بحث نشر سابقا حول العقاقير التي قد تعمل على حماية الأعصاب من التلف. ويعتقد باحثون أن هذه العقاقير يمكن أن تبطئ تطور مرض التصلب العصبي، وستكون هذه التجربة هي الأولى من نوعها، من حيث إجراء الاختبار على مثل هذا العدد الكبير من المرضى.
ظهور اعراض جديدة
إذا كانت الأعراض جديدة على المريض أي لم تحصل من قبل وكانت قوية مثل ضعف حاد في أحد الأطراف فيفضل دخول المريض للمستشفى لأخذ حقنة الكورتيزون لعدة أيام علما ان حقن الكورتيزون لا تعالج المرض ولا تغير مساره - مجرد أنها تقلل من طول فترة الأزمة. إذا كانت الأزمة خفيفة إلى متوسطة أو أن التغير يحصل ببطء فلا ننصح بالذهاب للطواريء بل مراجعة العيادة حتى لو تأخر الموعد لأنه للأسف لا يوجد علاج لمثل هذه الانتكاسات.
أشياء يجب تجنبها
تجنب التعرض الطويل للحرارة سواء من الشمس او الماء او غيرها, اما من ناحية الطعام و النشاط الجسمي فليس هناك أي محذور.
التاريخ
كتشف الباحثون خلال السبعينيات، أن مورِّثات (جينات) معينة ترتبط بحدوث التصلُّب المتعدد. والمورثَات (الجينات) وحدات وراثية دقيقة تتحكم في أنشطة الخلية. وتتحكم المورثات المرتبطة بالتصلب المتعدد في جهاز مناعة الجسم. ويظن بعض العلماء أن هذه المورثات تتفاعل مع عامل بيئي ـ لم يتم تحديده بعد ـ لإحداث حالة يمكن أن تقود إلى الإصابة بهذا المرض. وقد أظهر استخدام بعض العقاقير أملاً في علاج التصلب المتعدد لدى بعض المرضى. وأكثر العقاقير المستخدمة في العلاج هو الهورمون موجه قشرة الكظر.
نصائح للتعايش مع المرض
- تجنب التعرض للحرارة العالية قدر الإمكان
- استخدام وسائل التقنية لتساعد على التذكر
- تجنب الضغوطات
- تجنب القيام بالمهام الصعبة
- التحدث مع المختصين عن المخاوف
- الإنضمام إلى مجموعات الدعم
- فهم المصاب وعائلته للمرض وطبيعته
- تجاهل الأفكار السلبية المصاحبة للمرض
- إتباع نمط صحي
- أخذ قسط من الراحة عند الشعور بالتعب[2]
أنظر أيضاً
المصادر
- ^ "عقاقير الاكتئاب وأمراض القلب "قد تفيد" في علاج تصلب الأعصاب المتعدد". بي بي سي. 2015-04-01. Retrieved 2015-04-01.
- ^ "10 نصائح للتعايش مع مرض "التصلب اللويحي"". twasul. 2023-05-24. Retrieved 2023-05-25.
قراءات أخرى
- Langgartner M, Langgartner I, Drlicek M (2005). "The patient's journey: multiple sclerosis". BMJ. 330 (7496): 885–8. doi:10.1136/bmj.330.7496.885. PMC 556161. PMID 15831874.
{{cite journal}}: Unknown parameter|month=ignored (help)CS1 maint: multiple names: authors list (link)
وصلات خارجية
- التصلب المتعدد at the Open Directory Project
- Database for analysis and comparison of global data on the epidemiology of MS
- NIH listing of clinical trials related to MS
- Abstract index of the Cochrane Library
- GeneReview/NCBI/NIH/UW entry on Multiple Sclerosis Overview
