استرواح الصدر
| استرواح الصدر Pneumothorax | |
|---|---|
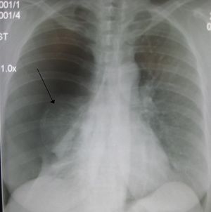
| Right sided spontaneous pneumothorax. An arrow indicating the edge of the collapsed lung. | |
| التبويب والمصادر الخارجية | |
| التخصص | طب الصدر, جراحة القلب والصدر, طب الطوارئ |
| ICD-10 | J93., P25.1, S27.0 |
| ICD-9-CM | 512, 860 |
| DiseasesDB | 10195 |
| MedlinePlus | 000087 |
| eMedicine | emerg/469 emerg/470 |
| Patient UK | فشل عرض الخاصية P1461: لم يتم العثور على الخاصية P1461. استرواح الصدر |
| MeSH | D011030 |
استرواح الصدر هواء أو غاز في التجويف الغشائي الجنبي بين الرئتين وبين جدار الصدر، حيث يوجد غشاء رقيق، متصل يغطي الرئتين من الخارج، كما يبطن جدار الصدر من الداخل، يُسمى غشاء الجنب أو البلورا. انظر: غشاء الجنب. ومن الطبيعي أن يكون جزء البلورا المغطي للرئتين مجاوراً للجزء الموجود على الجانب الداخلي من الصدر لايفصل بينهما سوى خيط رفيع من السائل. ولاوجود للهواء عادة في هذا التجويف القائم بينهما. فإذا حدث ودخل هواء أو غاز في تجويف البلورا، فإنه يدفع بقسمي الغشاء للابتعاد بعضهما عن بعض. فإذا تجمّع قدر كبير من الهواء أو الغاز بين قسمي البلورا على جانب من الصدر، فإن الرئة لاتستطيع أن تتمدد بحرية كاملة في هذا الجانب، ومن ثم يصبح التنفس صعبًا، بل وربما تتعرّض الرئة لحالة هبوط رئوي.
وقد يحدث استرواح الصدر نتيجة جرح في الصدر بفعل سكين أو طلقة رصاص أو نتيجة حدوث تمزق مفاجىء في الرئة. كذلك فإن عدوى تجويف البلورا عن طريق الجراثيم المنتجة للغازات يمكن أن تسبب استرواح الصدر. وفي هذه الحالة يقوم الأطباء بإزالة الغاز عن طريق الامتصاص لعلاج استرواح الصدر، وجراحياً بتضميد الصدر، أو الرئة، أو بوصف بعض المضادات الحيوية في حالة وجود العدوى.