خشونة الركبة

Medo dedo
ساهم بشكل رئيسي في تحرير هذا المقال
NMR-Bild einer medial betonten Kniearthrose, von vorne gesehen

خشونة الركبة Knee osteoarthritis مرض ينتج عن تآكل الغضاريف الناعمة التي تغطي سطح المفصل والتي تساعد على نعومة الحركة. حيث يحدث ضعف في تماسك هذه الغضاريف مما يؤدي إلى تشقق سطحها ثم تتآكل تدريجياً إلى أ، يصبح سطح العظمة عارياً من الغضاريف التي تحميه. ويصاحب هذا التآكل إالتهاب في الغشاء المبطن للمفصل (الغشاء السينوفي) المسئول عن إفراز السائل الذي يساعد على تزييت سطح المفصل وهذا الإلتهاب يؤدي إلى حدوث إرتشاح (تجمع الماء) بالركبة.

ومفصل الركبة من أعقد مفاصل الجسم تركيبا، ويحتاج لمهارة معينة عند التدخل الجراحي، حيث إن آلام الركبة لا تعني بالضرورة خشونتها.. فهناك أسباب كثيرة لذلك.


علامات وأعراض

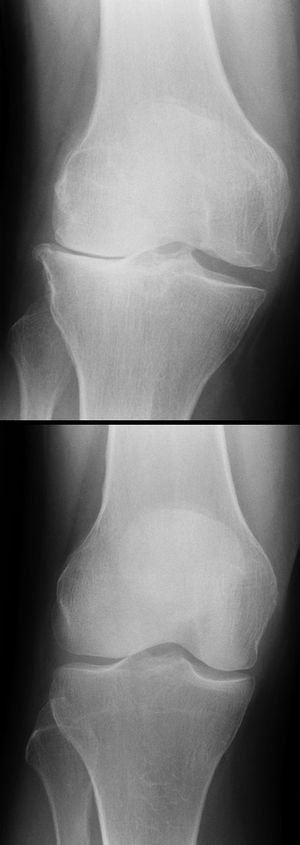
Röntgenbild einer lateralen Gonarthrose (oben) im Vergleich zu einem normalen Kniegelenk (unten)
  • ألم
  • Stiffness
  • Decreasing range of motion
  • Muscle weakness and atrophy due to inactivity or stiffness
  • Crepitus
  • Effusion
  • Deformity
  • Baker's cyst (a harmless collection of joint fluid behind the knee)

الأسباب

من أهم أسباب خشونة الركبة تمزق الغضروف الهلالي، وتتمتع بقوة تجديدية عالية، وتجدد نفسها مع كل حركة أي أنه من كثرة تحرك المريض، يحدث تجديد لخلايا الغضاريف المفصلية.. وتستمر هذه القدرة التجديدية، لأكثر من ٥٦ عاما، ويعني ذلك أن الخشونة لا تتكون بالغضروف قبل الستين فما فوق ويستطيع الإنسان السير بدون آلام بالركبتين حتى هذه السن..

في كثير من الحالات، يشعر البعض في سن مبكرة، بالآلام في الركبتين خاصة أثناء صعود السلم، مع الشعور بطقطقة أثناء الحركة بالمفصل، مما يجعله يعتقد أنه يعاني من خشونة في الركبة، رغم قدرة الغضاريف المفصلية على التحمل والتجديد لما بعد سن الستين أو الخامسة والستين، ولتفسير ذلك يجب معرفة التركيب التشريحي لمفصل الركبة حتى يتسنى معرفة أسباب تلك الآلام في سن مبكرة.. فمفصل الركبة يمتاز عن أي مفصل آخر، بوجود الغضاريف الهلالية حيث يوجد بكل مفصل غضروفان هلاليان خارجي وداخلي علاوة على الغضاريف المفصلية المبطنة لنهايات العظام، وتكسب الغضاريف الهلالية المفصل صفة تحمل الأوزان، بالإضافة لمرونة الحركة أثناء السير، وغير ذلك من الحركات اليومية، إذا حدث تمزق بأي جزء من أجزاء هذا الغضروف الهلالي، فإنه يسبب ألما بالركبة أثناء السير، مع الشعور بطقطقة أثناء الحركة، مما يوحي للمريض أنه يعاني من خشونة بالركبة، ويزيد من هذا الاعتقاد عدم قدرة المريض على جلوس القرفصاء أو ثني مفصل الركبة كاملا، وهو ما يحدث للاعبي كرة القدم، وغيرها من الألعاب الرياضية حيث تلتوي الركبة أثناء مزاولة الرياضة، فيتمزق ذلك الغضروف ..

وقد يحدث ذلك في سن مابين 40 إلى 60 عاما، حيث تضعف مقاومة الغضروف الهلالي، لأي سبب من الأسباب، كزيادة الوزن أو معاناة المريض من بعض الأمراض الروماتيزمية، التي تؤدي لضعف وتمزق الغضروف بأقل حركة ممكنة أثناء السير، أو عند نزول السلم، حيث يشعر المريض بطقطقة مصحوبة بألم في الركبة، ولا يقدر بعدها على السير، وهذا هو التمزق بالغضروف الهلالي للركبة، الذي يكون أغلبه في الغضروف الداخلي لمفصل الركبة.


العلاج

وقد يزول الألم الالتهابي المذكور، بعد تعاطي كثير من الأدوية المضادة للالتهاب، حيث يتعذر على المريض السير بسهولة أو ثني ركبته، ولا يقدر على الجلوس القرفصاء.

التدخل الجراحي

التدخل الجراحي باستخدام المنظار المفصلي، لأن حالة تمزق الغضروف لا تتم لزوال الألم فقط، ولكن هناك معلومات مهمة، يجب التنويه عنها، أولا  : إن الغضروف الهلالي له وظيفة معينة تساعد على زيادة ثبات المفصل.. ثانيا : إنها تمتاز بدرجة نعومة شديدة، تساعد على انسيابية الحركة، ومرونتها أثناء ثني المفصل، مما يحافظ على نعومة الغضاريف المفصلية المبطنة لنهايات العظام، المكونة لمفصل الركبة.. فإذا حدث تمزق لهذا الغضروف الهلالي، يتحول السطح الناعم إلى سطح خشن، ويؤدي إلى الألم ثم إلى تآكل بالغضاريف المفصلية مع كثرة الحركة، وبالتالي استخدام المسكنات ..

أهمية العلاج المبكر

يساهم العلاج المبكر حتى ولو كان جراحيا، في الوقاية من مضاعفات وخيمة، قد تصل إلى علاج جراحي معقد، يصل إلى تغيير مفصل الركبة، ويتلخص العلاج لمثل هذه الحالة في الاستئصال الجراحي للغضروف الهلالي المتمزق.

المصادر

  • John Crawford Adams and David L.Hamblen. Outline of Orthopaedics. Twelfth Edition. ISBN 0 443 05149 6
  • Darlene Hertling and Randolph M.Kessler. Management of Common Musculoskeletal Disorders. Third Edition. ISBN 0-397-55150-9
  • [1]