إحداث إنسداد
| إحداث إنسداد | |
|---|---|
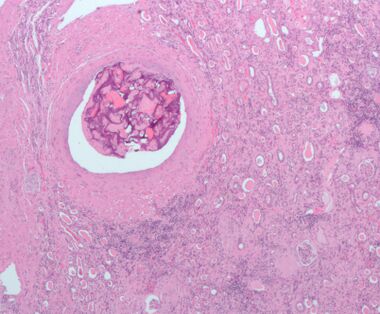
Micrograph of embolic material in the artery of a kidney. The kidney was surgically removed because of cancer. H&E stain. | |
| أسماء أخرى | Embolisation |
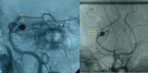
إحداث الانسداد يشير إلى تمرير وإيداع سدادة في تيار الدم. قد تكون مرضية (وفي هذه الحالة تسمى انسداد وعائي)، مثل الانصمام الرئوي، أو علاجية، كإرقاء لعلاج النزيف أو لعلاج بعض أنواع السرطان عن طريق غلق الأوعية الدموية عمدًا لتجويع خلايا الورم.
في علاج السرطان، بالإضافة لقيام السدادة بإيقاف إمداد الدم للورم، فإنها تحتوي على مكون لمهاجمة الورم كيميائيا أو عن طريق الإشعاع. حين تحمل السدادة دواء علاج كيميائي، تسمى العملية إحداث انسداد كيماوي. إحداث الانسداد الكيماوي عن طريق قسطرة شريانية هو النموذج المألوف. حين تحمل السدادة دواء مشع تسمى العملية إحداث انسداد إشعاعي أو علاج اختياري بالإشعاع الداخلي.
الاستخدامات
تتضمن عملية إحداث الانسداد السد الاختياري للأوعية الدموية عن طريق إدخال سدادة، أو بكلمات أخرى غلق وعاء دموي بشكل متعمد.
يستخدم إحداث الانسداد في علاج قطاع عريض من الحالات المتعلقة بأعضاء مختلفة في جسم الإنسان.
النزف
يستخدم العلاج لإغلاق:
- نفث الدم المتكرر
- أم الدم داخل القحف [1]
- نزف هضمي
- رعاف
- دوالي الخصية
- نزف أولي تال للوضع [2]
- نزف جراحي[3]
- نزف رضحي مثل تمزق الطحال وكسر الحوض
الأورام
يستخدم العلاج لإبطاء أو إيقاف إمدادات الدم وبالتالي إنقاص حجم الورم:
- أورام الكلية
- أورام الكبد، بالأخص سرطان الخلية الكبدية. يتم معالجته إما بالإحتشاء الجزئي أو بالانسداد الكيماوي عن طريق القسطرة الشريانية
- الأورام الليفية في الرحم
- تشوه شرياني وريدي
ارتفاع ضغط الدم الخبيث
من الممكن أن يكون مفيدا في التعامل مع حالات ارتفاع ضغط الدم الخبيث الناتج عن القصور الكلوي.[4]
أخرى
- إحداث انسداد الوريد البابي الكبدي قبل استئصال الكبد.[5]
الآلية
إن إحداث الانسداد عملية جراحية متدنية الإنتهاك. الغرض هو منه سريان الدم إلى منطقة ما في الجسم، مما يمكن بشكل فعال من تصغير حجم ورم أو غلق أم الدم.
يتم تنفيذ هذا الإجراء كإجراء وعائي داخلي عن طريق طبيب أشعة تدخلية متخصص. من الشائع أن يتلقى معظم المرضى العلاج دون أو بالقليل من التخدير، إلا أن ذلك يعتمد بشكل كبير على العضو الذي سيتم منع الدم عنه. يخضع المرضى الذين يجروح جراحة انسداد لغلق الأوعية المخية أو الوريد البابي الكبدي لتخدير كلي عادة.
يتم الوصول للعضو المطلوب عن طريق سلوك التوجيه أو القساطر. وعلى حسب العضو، قد يكون الوصول له صعبًا للغاية ومستهلكًا للوقت. يتم تحديد وضع الشريان أو الوريد السليم الذي يغذي النسيج المرضي عن طريق تصوير الأوعية بالطرح الرقمي. يتم استخدام تلك الصور بعد ذلك كخريطة لطبيب الأشعة التدخلية للوصول إلى الوعاء الدموي الصحيح عن طريق استخدام قسطرة أو سلك مناسبـ بالاعتماد على 'الشكل' التشريحي المحيط.
بمجرد الوصول للمكان، يمكن أن يبدأ العلاج. تكون السدادة الصناعية المستخدمة عادة واحدة مما يلي:
- لفائف: ملف جويليمي القابل للفصل أو الملف المائي
- حبيبات
- رغوة
- سدادة
- كريات مجهرية أو خرز
بمجرد إدخال السدادة الصناعية بنجاح، يتم تصوير الأوعية بالطرح الرقمي مرة أخرى للتأكد من نجاح العملية.
العوامل المستخدمة
عوامل الانسداد السائلة - تستخدم في حالات التشوه الشرياني الوريدي، تستطيع هذه المواد السريان من خلال التركيبات الوعائية المعقدة وبالتالي لا يحتاج الجراح أن يوجه قسطرته لكل وعاء دموي. أونيكس هي مثال لمادة انسداد سائلة.
- بوتيل سيانوأكريليت (NBCA) - هذه المادة سائلة دائما وسريعة المفعول، تشبه الصمغ ويتم بيعها المسمى التجاري "الصمغ الخارق" (SuperGlue)، وتتبلمر فور احتكاكها مع الأيونات. كما أنها تتسم بتفاعل منتج للحرارة يقوم بتدمير جدار الوعاء الدموي. نظرا لأن عملية البلمرة تحدث بسرعة كبيرة، فإن تلك المادة تتطلب جراح ماهر. خلال العملية، يجب على الجرح أن يغسل القسطرة قبل وبعد حقن مادة NBCA، وإلا فإنها ستتبلمر داخل القسطرة. كذلك يجب سحب القسطرة سريعًا لكي لا تلتصق بالوعاء الدموي. يمكن مزج الزيت بتلك المادة لإبطاء معدل البلمرة.
- إثيودول - مصنوع من اليود وزيت بذور الخشخاش، وهي مادة لزجة للغاية. تستخدم عادة في عمليات الانسداد الكيماوي، خاصة لسرطان الخلية الكبدية، لكون ذلك الورم يمتص اليود. عمر النصف لتلك المادة هو 5 أيام، ولذلك فهي تسد الأوعية مؤقتًا فقط.
العوامل المصلبة - تقوم هذه بتصليب البطانة الغشائية للأوعية الدموية. تحتاج لوقت أكبر للتفاعل مقارنة بالعوامل السائلة. لذلك، لا يمكن استخدامها في الأوعية الكبيرة أو ذات التدفق الكبير للدم.
- إيثانول - هذا العامل الدائم جيد جدا لعلاج التشوه الشرياني الوريدي. يحتاج الكحول لبعض الوقت لإفساد بروتينات البطانة الغشائية وتنشيط نظام التجلط لتكوين جلطة. لذلك، يلجأ بعض الجراحون لغلق الوعاء الدموي عن طريق قسطرة بالونية لوقف تدفق الدم ومنح الإيثانول الوقت الكافي للعمل. الكميات الكبيرة من مادة الإيثانول سامة للجسم وقد تسبب متلازمة الحيز. بالإضافة فإن حقنها مؤلم.
- إيثانول أمين أولييت - يستخدم هذا العامل الدائم في كي الدوالي المريئية. يحتوي على 2% بنزيل كحول، وبالتالي فهو أقل ألما من الإيثانول. إلا أنه يسبب انحلال الدم والفشل الكلوي عند إعطائه بجرعات كبيرة.
- تيتراديسيل صوديوم - تستخدم هذه المادة في علاج الدوالي السطحية في الطرف السفلي. تستخدم المدة منذ وقت طويل وهي علاج مؤكد. مع ذلك، فإنها تسبب فرط التصبغ في المنطقة التي تستخدم فيها في 30% من المرضى. وهي أقل ألما من الإيثانول.
عوامل الانسداد الحبيبية - تستخدم تلك المواد للشرينات الصغيرة قبل الشعيرات أو للشرايين الصغيرة فقط. تلك المواد أيضا جيدة لعلاج التشوهات الشريانية الوريدية العميقة داخل الجسم. العيب هو أنها ليس من السهل توجيهها داخل الأوعية الدموية. كل تلك المواد ليست مواد مظللة وبالتالي لا تظهر بالأشعة إلا إذا تم غمرهم في مادة مظللة قبل الحقن.
- الإرقاء بالرغوة الهلامية - تغلق الأوعية الدموية مؤقتا لمدة 5 أسابيع.[6] تعمل عن طريق امتصاص السائل وسد الوعاء. تتكون من جيلاتين لا يذوب في الماء، بالتالي يمكن للحبيبات أن تذهب بعيدا وتغلق الشعيرات الصغيرة. إحدى الطريق لتحديد مكان حقن الرغوة الهلامية هو عمل ساندوتش من الرغوة الهلامية. يتم وضع ملف في مكان محدد، ثم حقن الرغوة الهلامية وإيداعها في الملف.
- كحول متعدد الفاينيل - عوامل دائمة. عبارة عن كرات صغيرة يتراوح حجمها بين 50-1200 ميكرومتر. الهدف من الحبيبات ليس غلق الوعاء ميكانيكيًا، إنما التسبب في رد فعل التهابي. لسوء الحظ، تميل تلك الحبيبات للتكتل معا لأن الكرات ليست مستديرة بشكل مثالي. قد تنفصل الكتلة عن بعضها بعد أيام عدة أيام، معلنة فشلها كعامل انسداد.
- كريات الانسداد المجهرية - تلك عوامل انسداد دائمة أو حبيات قابلة لإعادة الامتصاص وهي تتفوق على غيرها من العوامل ومتاحة بأحجام مختلفة من أجل الحصول على إغلاق محكم. قد تشمل كريات الانسداد المجهرية وظيفة إضافية مثل القدرة على حمل وشطف الأدوية، أوبعض الخصائص الميكانيكية، أوالقابلية للتصوير التشخيصي، أو النشاط الإشعاعي
أجهزة الانسداد الميكانيكية - تلائم هذه جميع الأوعية. تمتاز كذلك بدقة التمركز، حيث تتواجد بالضبط أين تنتهي القسطرة.
- لفائف - تسخدم في حالات توصيلة شريانية وريدية، أو أم الدم، أو الرضة الخطيرة. هي جيدة جدا للأوعية ذات التدفق السريع لأنها تكون جلطة فورا. تصنع اللفائف من البلاتين أو الفولاذ المقاوم للصدأ. تقوم بتكوين جلطة بسبب ذيولها الصوفية المحتوية على الداكرون. الملف نفسه لا يتسبب في غلق ميكانيكي. ونظرًا لأنه مصنوع من معدن، فإنه يظهر بوضوح في صور الأشعة. العيب هو أن اللفائف الكبيرة قد تخل بصور الأشعة. كذلك قد يفقد الملف شكله إذا التوت القسطرة. كذلك، يوجد خطر صغير أن تنخلع من مكان إيداعها.
- البالون القابل للفصل - يستخدم لعلاج التوصيلة الشريانية الوريدية، وأم الدم. يتم زرع هذه البالونات ببساطة في وعاء مستهدف، ثم ملأها بالمصل من خلال صمام ذو اتجاه واحد. يتوقف الدم وتنمو البطانة الغشائية حول البالون حتى يتليف الوعاء الدموي. قد يكون البالون مفرط التوتر مقارنة بالدم وبالتالي يتمزق ويفشل، أو قد يكون منخفض التوتر وينكمش مهاجرًا لموقع جديد.
المميزات
- جراحة متدنية الإنتهاك
- لا تندب
- خطر ضئيل للعدوى
- لا استخدام أو استخدام نادر للتخدير
- زمن تعافي أسرع
- نسبة نجاح عالية مقارنة بالأساليب الأخرى
- يحافظ على الخصوبة والسلامة التشريحية
العيوب
- تعتمد نسبة النجاح على المستخدم
- خطورة وصول السدادات إلى أنسجة سليمة مسببة قرحة معدية أو قرحة الاثنا عشر.[7] توجد طرق وآليات وأجهزة تقلل من حدوث هذا النوع من الآثار الجانبية.
- ليست مناسبة للجميع
- التكرار أكثر احتمالا
انظر أيضا
مراجع
- ^ Jiang B, Paff M, Colby GP, Coon AL, Lin LM. Stroke Vasc Neurol. 1 (3). doi:10.1136/svn-2016-000027. PMC 5435202. PMID 28959469 https://www.ncbi.nlm.nih.gov/pmc/articles/PMC5435202.
{{cite journal}}: Missing or empty|title=(help); Unknown parameter|التاريخ=ignored (help); Unknown parameter|الصفحات=ignored (help); Unknown parameter|العنوان=ignored (help) - ^ Chauleur C, Fanget C, Tourne G, Levy R, Larchez C, Seffert P. Hum. Reprod. 23 (7). doi:10.1093/humrep/den122. PMID 18460450.
{{cite journal}}: Missing or empty|title=(help); Unknown parameter|التاريخ=ignored (help); Unknown parameter|الصفحات=ignored (help); Unknown parameter|العنوان=ignored (help) - ^ Grand Rounds. 10. doi:10.1102/1470-5206.2010.0010 (inactive 2017-01-15).
{{cite journal}}: Cite has empty unknown parameter:|الشهر=(help); Missing or empty|title=(help); Unknown parameter|الأخير1=ignored (help); Unknown parameter|الأخير2=ignored (help); Unknown parameter|الأخير3=ignored (help); Unknown parameter|الأخير4=ignored (help); Unknown parameter|الأول1=ignored (help); Unknown parameter|الأول2=ignored (help); Unknown parameter|الأول3=ignored (help); Unknown parameter|الأول4=ignored (help); Unknown parameter|السنة=ignored (help); Unknown parameter|الصفحات=ignored (help); Unknown parameter|العنوان=ignored (help); Unknown parameter|المسار=ignored (help); Unknown parameter|تاريخ الأرشيف=ignored (help); Unknown parameter|مسار الأرشيف=ignored (help); Unknown parameter|وصلة مكسورة=ignored (help)CS1 maint: DOI inactive as of يناير 2017 (link) - ^ Alhamid N, Alterky H, Othman MI. Avicenna J Med. 3 (1). doi:10.4103/2231-0770.112791. PMC 3752858. PMID 23984264 https://www.ncbi.nlm.nih.gov/pmc/articles/PMC3752858.
{{cite journal}}: Missing or empty|title=(help); Unknown parameter|التاريخ=ignored (help); Unknown parameter|الصفحات=ignored (help); Unknown parameter|العنوان=ignored (help)CS1 maint: unflagged free DOI (link) - ^ Madoff DC, Hicks ME, Vauthey JN, Charnsangavej C, Morello FA, Ahrar K, Wallace MJ, Gupta S. Radiographics. 22 (5). doi:10.1148/radiographics.22.5.g02se161063. PMID 12235336.
{{cite journal}}: Missing or empty|title=(help); Unknown parameter|التاريخ=ignored (help); Unknown parameter|الصفحات=ignored (help); Unknown parameter|العنوان=ignored (help) - ^ Gelfoam at Pfizer Archived 2017-08-28 at the Wayback Machine
- ^ Carretero C, Munoz-Navas M, Betes M, Angos R, Subtil JC, Fernandez-Urien I, De la Riva S, Sola J, Bilbao JI, de Luis E, Sangro B. The American Journal of Gastroenterology. 102 (6). doi:10.1111/j.1572-0241.2007.01172.x. PMID 17355414.
{{cite journal}}: Missing or empty|title=(help); Unknown parameter|التاريخ=ignored (help); Unknown parameter|الصفحات=ignored (help); Unknown parameter|العنوان=ignored (help)
روابط خارجية
| Classification | |
|---|---|
| External resources |