ورم لمفي جلدي لكريات لمفاوية تائية

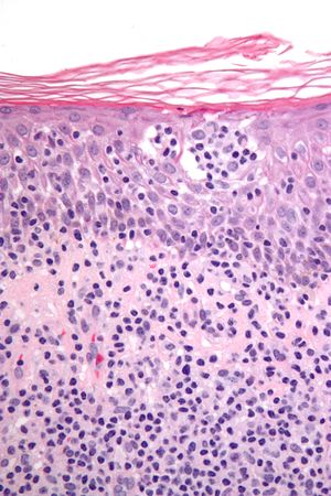
صورة مجهرية للورم اللِمفي الجلديّ للكريات الليمفاوية التائية

الورم اللِمفي الجلديّ للكريات الليمفاوية التائية(بالانجليزي: Cutaneous T-cell lymphoma) هو نوع من أنواع سرطان الجهاز المناعي يحدث نتيجة التكاثرالورمي الشاذ للكريات اللمفية التائية على العكس من لِمْفُومةٌ لَاهودجكينيَّة التي تنشأ فيها الأورام نتيجة تكاثر الكريات اللمفية البائية , هذه الخلايا الخبيثة تسبب مبدئياظهور آفات مختلفة على البشرة يتغير شكلها خلال مراحل تطور المرض , وعادة تظهر على شكل طفح يتحول في نهاية المطاف إلى لويحات وأورام تنتشر على كافة الجسم (نقيلة) .

التصنيف

يمكن تصنيف الورم اللِمفي الجلديّ للكريات الليمفاوية التائية إلى الأنواع التالية [1]:

• الفُطار الفُطرانىّ

• التشبك الباجيتوئيدي

متلازمة سيزاري(متلازمة الرجل الأحمر)

ورم حبيبي مع جلد متهدل

ورم لمفي خبيث

• النخالية الحزازية المزمنة

• الخالة شبيهة الحزاز ووشبيه الجذري الحادة

• الورم اللِمفى الجلدى للكريات الليمفاويّة الإيجابية CD30

• الورم اللِمفى الجلدى للكريات الليمفاويّة التائية السلبية CD30

• الورم الِلمفي للكريات التائية متعدد الأشكال

• الورم الليمفاوي متعدد الأشكال للكريات اللمفية التائية

• ليمفوما لينرت

• ورم لمفي تحت الجلد للكريات اللمفية التائية

• ليمفوما الخلايا التائية الطبيعية القاتلة

• ورم لمفي الخلايا القاتلة الطبيعية البلاستيكية

العلاج

لايوجد علاج نهائي للورم اللِمفي الجلديّ للكريات الليمفاوية التائية, ولكن هناك أدوية متنوعة تخفف الألام على المرضى وتجعلهم قادرون على الحياة بشكل طبيعي مع السرطان , ومن العلاجات المعتمدة [2]

(1999) دينيلوكين ديفتيتوكس – أونتاك- .

(2000) بيكسايروتين -تارجر يتين-

(2006) زولينزا Vorinostat

(2009)رميدابسين –ايزتوداكس-

أدوية أخرى

• حبوب الكورتيزون

• جل وكبسولات تارجريتين(بيكسايروتين)

• كارموستين (nitrosourea)

• ميكلورإيثامين ( خردل النيتروجين / ماستروجين)

العلاج بالضوء (العلاج الضوئي بالأشعة الفوق بنفسجية UVB الضيقة المجال أو العلاج الضوئي الكيميائي بالأشعة الفوق بنفسجية UVB الضيقة المجال).

العلاج الإشعاعي الإلكتروني

• العلاج الإشعاعي التقليدي

• الرحَلان الضوئى

• الانترفيرون

• ألمتوزوماب

• الميثوتريكسيت

• بنتوستاتين والعديد من نظائر البيورين (فلودارابين, 2-deoxychloroadenosine )

• دوكسيل (Liposomal doxorubicin)

• جيمزار(جيمسايتابين Gemcitabine)

• سيكلوفوسفامايد

زراعةنخاع العظم/الخلايا الجذعية

• Forodesine مثبط إنزيم بورين نوكليوزيد فوسفوريلاز

وهناك أدوية أخرى تحت التجربة مثل panobinostat

علم الأوبئة

• تشكل سرطانات الورم اللِمفي الجلديّ للكريات الليمفاوية التائية [3]2% من جميع أنواع سرطان الدم الأخرى , ويعدّ فيروس المحب للخلايا الليمفية التائيةالبشريّ أحد أسباب الإصابة بسرطان الدم [4].

شاهد أيضا

المراجع

  1. ^ James, William D.; Berger, Timothy G.; et al. (2006). Andrews' Diseases of the Skin: clinical Dermatology. Saunders Elsevier. ISBN 0-7216-2921-0. {{cite book}}: Explicit use of et al. in: |author= (help)CS1 maint: multiple names: authors list (link)
  2. ^ http://www.istockanalyst.com/article/viewnewspaged/articleid/3622028/pageid/1
  3. ^ Turgeon, Mary Louise (2005). Clinical hematology: theory and procedures. Hagerstown, MD: Lippincott Williams & Wilkins. p. 283. ISBN 0-7817-5007-5. Frequency of lymphoid neoplasms. (Source: Modified from WHO Blue Book on Tumour of Hematopoietic and Lymphoid Tissues. 2001, p. 2001.)
  4. ^ Nicot C (2005). "Current views in HTLV-I-associated adult T-cell leukemia/lymphoma". Am. J. Hematol. 78 (3): 232–9. doi:10.1002/ajh.20307. PMID 15726602. {{cite journal}}: Unknown parameter |month= ignored (help)

وصلات خارجية