فقد التمايز الخلوي Anaplasia حيث البادئة Ana- تعني إلى الوراء واللاحقة plasia تعني تكون أو تنسج أي المصطلح يعني تنسج راجع أو تحول راجع وهو يعرف اصطلاحيا بفقد التمايز الخلوي (فقد التمايز البنيوي في خلية أو مجموعة من الخلايا).
لاتنسج Aplasia حيث البادئة A- تعني فقدان أو غياب واللاحقة plasia تعني تنسج أي المصطلح يعني فقدان التنسج أو غياب التنسج وهو يعرف اصطلاحيا باللاتنسج (فقدان عضو أو جوء من عضو)
نقص التنسج Hypoplasia حيث البادئة Hypo- تعني انخفاض أو نقص واللاحقة plasia تعني تنسج أي المصطلح يعني انخفاض التنسج أو نقص التنسج كما يعرف اصطلاحيا (عدد خلايا خلقي أقل من المعدل الطبيعي, بالأخص عندما يكون عدد الخلايا غير كاف للقيام بالوظائف الفسيولوجية)
فرط التنسج Hyperplasia حيث البادئة Hyper- تعني زيادة أو فرط واللاحقة plasia تعني تنسج أي المصطلح يعني زيادة التنسج أو فرط التنسج كما يعرف اصطلاحيا (تكاثر الخلايا)
تكون الورم Neoplasia حيث البادئة Neo- تعني جديد أو الحديث أو المستحدث واللاحقة plasia تعني تنسج أي المصطلح يعني التنسج الجديد أو التنسج المستحدث والذي يعرف اصطلاحيا بالنشوء الورمي أو تكون الورم (تكاثر غير طبيعي وغير سوي)
خلل التنسج Dysplasia حيث البادئة Dys- تعني خلل أو اختلال واللاحقة plasia تعني تنسج أي المصطلح يعني اختلال أو خلل التنسج كما يعرف اصطلاحيا ( تغير الطراز الشكلي في الخلية أو النسيج)
تحول نسيجي Metaplasia حيث البادئة Meta- تعني تحول أو تغير أو تبدل واللاحقة plasia تعني تنسج أي المصطلح يعني تغير التنسج أو تبدل التنسج أو تحول التنسج كما يعرف اصطلاحيا بالتبدل النسيجي أو التحول النسيجي الاستحالة النسيجية (تحول في نوع الخلايا)
التراقي Prosoplasia حيث البادئة Proso- تعني وجه واللاحقة plasia تعني تكون أو تنسج أي المصطلح يعني تكون الوجه راجع أو تنسج الوجه وهو يعرف اصطلاحيا بالتراقي (نشوء وظيفة خلوية جديدة)
تكون النسيج الليفي Desmoplasia حيث البادئة Desmo- تعني الرباط واللاحقة plasia تعني تكون أو تنسج أي المصطلح يعني تكون الرباط أو تنسج الرباط (يشتر به هنا للنسيج الرابط أو الضام) وهو يعرف اصطلاحيا بتكون النسيج الليفي أو التنسج الليفي (تكون النسيج الضام)
ضمور Atrophy حيث البادئة A- تعني فقدان أو غياب واللاحقة trophy تعني تغذية أو نماء أي المصطلح يعني غياب التغذية أو فقدان التغذية وهو يعرف اصطلاحيا بالضمور (انخفاض المستوى الوظيفي للعضو, مع نقصان في عدد أو حجم الخلايا)
تضخم الخلايا Hypertrophy حيث البادئة Hyper- تعني زيادة أو فرط واللاحقة trophy تعني تغذية أو نماء أي المصطلح يعني زيادة التغذية أو فرط التغذية وهو يعرف اصطلاحيا بالتضخم الخلوي (زيادة حجم الخلايا)
نقص التغذية Hypotrophy حيث البادئة Hypo- تعني انخفاض أو نقص واللاحقة trophy تعني تغذية أو نماء أي المصطلح يعني انخفاض التغذية والذي يشير اصطلاحيا للضمور (نقصان حجم الخلايا)
تضاؤل الحيوية Abiotrophy حيث البادئة A- تعني فقدان أو غياب والجذر bio يعني حياة أو حيوي واللاحقة trophy تعني تغذية أو نماء أي المصطلح يعني غياب التغذية الحيوية أو فقدان التغذية الحيوية وهو يعرف اصطلاحيا بتضاؤل الحيوية (فقدان إمكانية الحياة في غضو أو نسيج ما)
التغذية السيئة حيث البادئة Dys- تعني خلل أو اختلال واللاحقة trophy تعني تغذية أو نماء أي المصطلح يعني اختلال أو خلل التغذية أو النماء والذي يعرف اصطلاحيا بسوء التغذية أو فساد التغذية وكذلك بالحثل (أي اضطراب تنكسي ينتج عن تغذية غير ملائمة أو ذات عيوب)
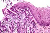
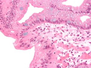
Micrograph of a gastro-esophageal junction with pancreatic acinar metaplasia. The esophageal mucosa (stratified squamous epithelium) is seen on the right. The gastric mucosa (simple columnar epithelium) is seen on the left. The metaplastic epithelial is at the junction (center of image) and has an intensely eosinophilic (bright pink) cytoplasm. H&E stain.
الحوؤل ( Metaplasia ) هو استبدال خلايا متمايزة ((differentiated cells من نوع معين بخلايا متمابزة من نوع آخر. الحوؤل مختلف عن خلل التنسج (dysplasia ) كما انه مختلف عن السرطان .
يؤدي الحوؤل إلى تغيير مآل الخلايا في مطلع حياتها ولا يغير الخلايا المتمايزة (differentiated cells).
الحوؤل عكوس (reversible ) وينجم عادة كاستجابة لالتهاب وتخريش مزمن ، ويتيح استبدال الخلايا باخرى اقدر على العيش في ظروف لاتحتملها الخلية الاصلية. و الحوؤل ليس ضارا في حد ذاته ولكنه يمكن أن يؤثر على بطانة اعضاء مختلفة كالقصبات (الطرق الهوائية) والمثانه. فالحوؤل في عنق الرحم يحدث تآكلا يمكن الكشف عنه باختبار لطاخة عنق الرحم.
الأهمية الطبية للحوؤل هي أن الخلايا قد تتطور من حوؤل إلى خلل تنسج ومن ثم إلى سرطان. و يحدث ذلك في مواقع عديدة من الجسم كالمثانه وعنق الرحم واسفل المريء. وعندما يكتشف الحوؤل في هذه المواقع ، نسعى سعيا جادا لازالة العوامل المسببة ، وبذلك نقلل من خطر ترقي الحوؤل إلى آفة خبيثة . ينبغي متابعة الناحية المصابة بالحؤول متابعة دقيقة لضمان كشف بدايات اي خلل تنسج الذي ان تطورت في العضو تطورا ملحوظا يستطب حينها ازالة المنطقة المصابة لمنع تطورها إلى سرطان.