انفتال
| Volvulus | |
|---|---|
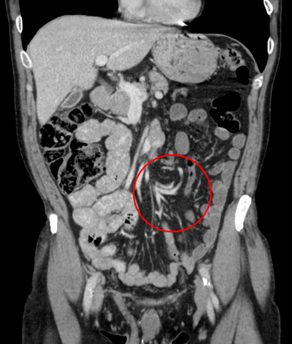
| Coronal CT of the abdomen, demonstrating a volvulus as indicated by twisting of the bowel stock | |
| التخصص | General surgery |
| الأعراض | Abdominal pain, abdominal bloating, vomiting, constipation, bloody stool[1][2] |
| المضاعفات | Ischemic bowel[1] |
| البداية المعتادة | Rapid or more gradual[2] |
| عوامل الخطر | Intestinal malrotation, enlarged colon, Hirschsprung disease, pregnancy, abdominal adhesions, chronic constipation[1][3] |
| الطريقة التشخيصية | Medical imaging (plain X-rays, GI series, CT scan)[1] |
| العلاج | Sigmoidoscopy, barium enema, bowel resection[3] |
| التردد | 2.5 per 100,000 per year[4][2] |
الانفتال volvulus هو انسداد الأمعاء حيث تنلوي أنشوطة من الأمعاء بشكل غير طبيعي بنفسها.[5]
الأنواع
- انفتال وليدي Volvulus Neonatorum
- انفتال الأمعاء الدقيقة Volvulus Small Intestine
- انفتال أعوري Volvulus Caecum
- انفتال القولون السيني Volvulus Sigmoid Colon
الأسباب
يحدث انفتال المعي المتوسط في مرضى(غالبا ما يكونوا أطفال)والذين يميلون للاصابة به نتيجة سوء استدارة معوي خلقي . يحدث الانفتال القطعي في مريض من أي سن لديه ميل للمرض نتيجة احتواء أمعاؤه على مكونات غير عادية مثل (meconium ileus عنوص العفي) adhesions التصاقات . الاعور cecumأو , القولون المستعرض, او القولون السيني يحدث هذا في البالغين والذين لديهم استعداد لهذا نتيجة عوامل مثل تراخي في انسجة الامعاء أو نتيجة الامساك .
الأعراض
Regardless of cause, volvulus causes symptoms by two mechanisms.
- One is bowel obstruction, manifested as abdominal distension and vomiting.
- The other is ischemia (loss of blood flow) to the affected portion of intestine.
Volvulus causes severe pain and progressive injury to the intestinal wall, with accumulation of gas and fluid in the portion of the bowel obstructed.[5] Ultimately, this can result in necrosis of the affected intestinal wall, acidosis, and death. Acute volvulus therefore requires immediate surgical intervention to untwist the affected segment of bowel and possibly resect any unsalvageable portion.[5]
Volvulus occurs most frequently in middle-aged and elderly men.[5] Volvulus can also arise as a rare complication in persons with redundant colon, a normal anatomic variation resulting in extra colonic loops.[6]
Sigmoid volvulus is the most-common form of volvulus of the gastrointestinal tract[7] and is responsible for 8% of all intestinal obstructions.[بحاجة لمصدر] Sigmoid volvulus is particularly common in elderly persons and constipated patients. Patients experience abdominal pain, distension, and absolute constipation.
الأحوال المصاحبة
The volvulus can also occur in patients with Duchenne muscular dystrophy due to the smooth muscle dysfunction.
للتشخيص
CT scan of a small bowel volvulus. It shows two juxtaposed segments of narrowing, which is the spot of mesentery rotation. The other signs indicate strangulation.
An x-ray of a person with a small bowel volvulus.
العلاج
- Laparotomy
- Untwisting
- Transduodenal band of ladd is divided
مضاعفات
- Strangulation
- Gangrene
- Perforation
- Faecal peritonitis
- Recurrent volvulus
انظر أيضاً
الهامش
- ^ أ ب ت ث خطأ استشهاد: وسم
<ref>غير صحيح؛ لا نص تم توفيره للمراجع المسماةNIH2013 - ^ أ ب ت خطأ استشهاد: وسم
<ref>غير صحيح؛ لا نص تم توفيره للمراجع المسماةRos2013 - ^ أ ب خطأ استشهاد: وسم
<ref>غير صحيح؛ لا نص تم توفيره للمراجع المسماةGin2012 - ^ خطأ استشهاد: وسم
<ref>غير صحيح؛ لا نص تم توفيره للمراجع المسماةGor2007 - ^ أ ب ت ث Wedding, Mary Ellen; Gylys, Barbara A. (2004). Medical Terminology Systems: A Body Systems Approach (Medical Terminology (W/CD & CD-ROM) (Davis)). Philadelphia, Pa: F. A. Davis Company. ISBN 0-8036-1249-4.
{{cite book}}: CS1 maint: multiple names: authors list (link) - ^ Mayo Clinic Staff (2006-10-13). "Redundant colon: A health concern?". Ask a Digestive System Specialist. MayoClinic.com. Retrieved 2007-06-11.
- ^ Turan M, Sen M, Karadayi K; et al. (2004). "Our sigmoid colon volvulus experience and benefits of colonoscope in detortion process". Rev Esp Enferm Dig. 96 (1): 32–5. PMID 14971995.
{{cite journal}}: Explicit use of et al. in:|author=(help); Unknown parameter|month=ignored (help)CS1 maint: multiple names: authors list (link)
وصلات خارجية
| Classification | |
|---|---|
| External resources |