نسيج طلائي انتقالي
| ' | |
|---|---|
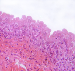
![]() نسيج طلائي انتقالي للمثانة البولية. لاحظ السطح المدوّر of the apical cells -- وهو علامة مميزة لهذا النوع من الأنسجة الطلائية. | |
![]() Transverse section of ureter. | |
| Identifiers | |
| TH | TH {{{2}}}.html HH2.00.02.0.02033 .{{{2}}}.{{{3}}} |
| المصطلحات التشريحية | |
أنسجة الطلائية الإنتقالية Transitional Epithelium هذا طراز خاص من الطلائية المصففة ، تكون بطانة الممر البولي خاصة الحالب والمثانة البولية. وتتميز هذه الطلائية بقدرتها على التمدد ، ثم عودتها إلى الحجم الطبيعية. وترتكز هذه الطلائية على غشاء قاعدي رفيع غير واضح. ويلاحظ أن خلايا الطبقة القاعدية لهذه الطلائية مكعبانية أو عمودية الشكل ، وتليها طبقات من خلايا مكعبانية أو متعددة الأضلاع ، بينما خلايا الطبقة السطحية مكعبة الشكل يحتوي بعضها على نواتين.
وعندما يحدث إسترخاء للعضو (كما في حالة المثانة البولية الفارغة مثلاً) تبدو هذه الطلائية مكونة من 6-8 طبقات من الخلايا. وعلى النقيض من ذلك فعندما يتمدد هذا العضو ، كما في حالة إمتلاء المثانة البولية بالبول ، فإنه يمكن تمييز طبقتين أو ثلاث فقط.
انظر أيضاً
صور اضافية
وصلات خارجية
- Histology at utmb.edu
- علم الأنسجة في جامعة اوكلاهوما 36_02 - "ureter"
- علم الأنسجة في جامعة اوكلاهوما 37_02 - "urinary bladder"
- Anatomy Atlases - Microscopic Anatomy, plate 02.24 - "Transitional Epithelium", Ureter
- علم الأنسجة في كلية طب جامعة كانزاس - موضوع urinary-renal16 "ureter"
This article contains content from Wikimedia licensed under CC BY-SA 4.0. Please comply with the license terms.


