مهاد
| المخ: مهاد Thalamus | ||
|---|---|---|
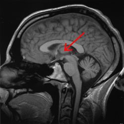
| مقطع صورة رنين مغناطيسي لمخ بشري, المهاد مبين فيه. | ||
| رسم توضيحي لمسار ألياف lemniscus; medial lemniscus بالأزرق, lateral بالأحمر. | ||
| باللاتينية | thalamus dorsalis | |
| گراي | subject #189 808 | |
| NeuroNames | hier-283 | |
| MeSH | Thalamus | |
المهاد Thalamus (من اليونانية θάλαμος = المهد أو المخدع, غرفة) هو زوج وجزء متماثل في المخ. وتشكل الجزء الرئيسي من diencephalon.
المكان والتضاريس
التشريح
امداد الشرايين
الوظيفة
تعتبر الوظيفة الأساسية لمنطقة المهاد هي الإحساس و يتحكم في الحركة البدنية، و يعتبر كمحطة للإشارات الحسية التي تصل إلى قشرة المخ و يعمل كمركز لتفسير بعض منها، مثل الألم و الشعور بالحرارة و الضغط واللمس. [1]
الباثولوجيا
النمو
المصادر
انظر أيضاً
- Primate basal ganglia system
- Regions in the human thalamus
- مهاد (غير القردة العليا)
- List of thalamic nuclei
صور اضافية
-
Schematic representation of the chief ganglionic categories (I to V).
-
Deep dissection of brain-stem. Lateral view.
-
Deep dissection of brain-stem. Ventral view.
-
Mesal aspect of a brain sectioned in the median sagittal plane.
-
Dissection showing the ventricles of the brain.
-
Coronal section of brain immediately in front of pons.
-
Coronal section of brain through intermediate mass of third ventricle.
-
Coronal section of lateral and third ventricles.
-
Section of brain showing upper surface of temporal lobe.
-
Horizontal section of right cerebral hemisphere.
-
The left optic nerve and the optic tracts.
-
Parts of the thalamus
-
Projections of the thalamus
-
Parts of the thalamus
-
Thalamus
وصلات خارجية
Look up thalamus in Wiktionary, the free dictionary.



