ألتراساوند طبي

Medical ultrasound
Sonographer doing pediatric echocardiography.JPG
Sonographer doing echocardiography on a child
ICD-10-PCSB?4
ICD-9-CM88.7
MeSHD014463
OPS-301 code3-03...3-05

الألتراساوند الطبي Medical ultrasound هو موجات فوق سمعية هي موجات ذات ترددات عالية نسبيا بحيث أن الأذن البشرية لا تسطيع أن تسمعها .

استخدامات الموجات فوق السمعيه

من الاستخدامات المهمة للموجات فوق السمعيه هو استخدامها في الطب وبالذات في الكشف عن الجنين في بطن أمه وهل هو حي أم ميت ، حيث أنه عندما يسلط الطبيب مصدر تلك الموجات على رحم الام تنعكس تلك الموجات وعندما يكون قلب الجنين ينبض فان زمن انعكاس أو ارتداد تلك الموجات يختلف تبعا لانقباض عضلة قلب الجنين وانبساطها وذلك يعود لتغيير بسيط في المسافة التي تقطعها الموجة قبل ان ترتد ، مما يعطي الجهاز المستقبل للموجات المنعكسه الفرصة لتسجيل تلك النبضات وبالتالي تظهر على شاشة الطبيب حركة القلب أي أن الجنين يكون حيا ، لكن لو كان الجنين ميتا فإن الموجات ترتد في نفس الزمن . و للموجات فوق السمعية استخدامات أخرى عديدة حيث تستخدم في تقدير عمق البحار و المحيطات و الكشف عن التجمعات السمكية و الجبال الجليدية في البحار و المحيطات و يستخد القانون التالي في تقدير عمق البحار و الحيطات : المسافة=(سرعة موجة الصوت ×الزمن)÷2

Gynecology and obstetrics

Orthogonal planes of a 3 dimensional sonographic volume with transverse and coronal measurements for estimating fetal cranial volume.[1][2]

Hemodynamics (blood circulation)

Blood velocity can be measured in various blood vessels, such as middle cerebral artery or descending aorta, by relatively inexpensive and low risk ultrasound Doppler probes attached to portable monitors[3]. These provides non-invasive or transcutaneous (non-piecing) minimal invasive blood flow assessment. Common examples are, Transcranial Doppler, Esophogeal Doppler and Suprasternal Doppler.

Otolaryngology (head and neck)

Neck ultrasound.

Most structures of the neck, including the thyroid and parathryoid glands, lymph nodes, and salivary glands, are well-visualized by high-frequency ultrasound with exceptional anatomic detail. Ultrasound is the preferred imaging modality for thyroid tumors and lesions, and ultrasonography is critical in the evaluation, preoperative planning, and postoperative surveillance of patients with thyroid cancer. Many other benign and malignant conditions in the head and neck can be evaluated and managed with the help of diagnostic ultrasound and ultrasound-guided procedures.

Neonatology

In neonatology, transcranial Doppler can be used for basic assessment of intracerebral structural abnormalities, bleeds, ventriculomegaly or hydrocephalus and anoxic insults (Periventricular leukomalacia). The ultrasound can be performed through the soft spots in the skull of a newborn infant (Fontanelle) until these completely close at about 1 year of age and form a virtually impenetrable acoustic barrier for the ultrasound. The most common site for cranial ultrasound is the anterior fontanelle. The smaller the fontanelle, the poorer the quality of the picture.

Ophthalmology (eyes)

In ophthalmology and optometry, there are two major forms of eye exam using ultrasound:

  • A-scan ultrasound biometry, commonly referred to as an A-scan (short for Amplitude scan). It is an A-mode that provides data on the length of the eye, which is a major determinant in common sight disorders, especially for determining the power of an intraocular lens after cataract extraction.
  • B-scan ultrasonography, or B-scan, which is a B-mode scan that produces a cross-sectional view of the eye and the orbit. It is commonly used to see inside the eye when media is hazy due to cataract or any corneal opacity.

Sound in the body

Linear array transducer


Compression ultrasonography

Compression ultrasonography is when the probe is pressed against the skin. This can bring the target structure closer to the probe, increasing spatial resolution of it. Comparison of the shape of the target structure before and after compression can aid in diagnosis.


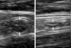
Panoramic ultrasonography

Panoramic ultrasonography of a proximal biceps tendon rupture. Top image shows the contralateral normal side, and lower image shows a retracted muscle, with a hematoma filling out the proximal space.


Weaknesses

Double aort artifact in sonography due to difference in velocity of sound waves in muscle and fat.


وتستخدم أيضا هذه الموجات في فحص لحام المعادن و المسبوكات حيث يتم تسليط هذه الموجات باستخدام أجهزة خاصة و قياس شدة الموجات المنعكسة وبالتالي يمكن الكشف عن المناطق التي لم يكتمل لحامها جيدا أو التي تحتوي فقاعات من الهواء .

كما تستخدم الموجات فوق السمعية في تعقيم المواد الغذائية و تستخدم في المجالات الطبية في تفتيت حصوات الكلى و الحالبين .


انظر أيضاً


Notes

References

  1. ^ Dubose, T. J. (1985). "Fetal Biometry: Vertical Calvarial Diameter and Calvarial Volume". Journal of Diagnostic Medical Sonography. 1 (5): 205–217. doi:10.1177/875647938500100504.
  2. ^ Dubose, Terry (July 14, 2011). "3D BPD Correction". Archived from the original on March 3, 2016. Retrieved 2015-01-14.
  3. ^ "Applications » Uscom".
  4. ^ Reddan, Tristan; Corness, Jonathan; Mengersen, Kerrie; Harden, Fiona (March 2016). "Ultrasound of paediatric appendicitis and its secondary sonographic signs: providing a more meaningful finding". Journal of Medical Radiation Sciences. 63 (1): 59–66. doi:10.1002/jmrs.154. PMC 4775827. PMID 27087976.

وصلات خارجية