بشرة
| ' | |
|---|---|
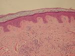
Histologic image of epidermis, delimited by white bar. | |
Histologic image detailing epidermal layers. Stratum corneum appears more compact in this image than above because of different sample preparation. | |
| المُعرفات | |
| MeSH | D004817 |
| TA98 | A16.0.00.009 |
| TA2 | 7046 |
| TH | TH {{{2}}}.html HH3.12.00.1.01001 .{{{2}}}.{{{3}}} |
| FMA | 70596 |
| المصطلحات التشريحية | |
البشرة epidermis، هي الطبقة العليا من الجلد، وطبقة الأدمة: يتكونان من أصلين مختلفين في الجنين ولكل منهما عمل يختلف عن عمل الآخر.
فطبقة البشرة تزدحم فيها الخلايا وليس لديها اوعية دموية ولا اعصاب وتستقر على غشاء قاعدي ومتكونة من طبقات مثل الحائط المكون من احجار فوق بعضها. وهي تنتج نوع من البروتينات المعقدة التي تسمى بالكيراتين. يختلف سمك هذه الطبقة والكيراتين تختلف حسب مكان الجلد في الجسم. لذلك فانه عند فحص قطعة من الجلد تحت المجهر لغرض تشخيص مرض معين يجب ذكر المنطقة من الجسم التي اخذت منها العينة. فمثلا كمية الكيراتين الطبيعية في راحة اليد هي كثيرة إذا وجدناها في الجبين.
التركيب
الخلايا
في طبقة البشرة نجد خلايا الجلد في مختلف مراحل النمو : من مرحلة الانقسام في اسفل إلى خشائية إلى كيراتينية. وهناك أيضا خلايا أخرى مثلا :Langerhans' cells اي خلايا لانكرهانس، عملها ان تقدم الجسم الغريب إلى الخلايا اللمفية، فهي جزء من النظام المناعي للخلايا: وحيدة الخلية (monocyte) -الخلايا الكبيرة الملتهمة macrophages. وفيها حبيبات لا توجد في اي نوع اخر من الخلايا، ومثل هذه الخلايا توجد في العقد اللمفية حيث تقدم الاجسام الغريبة إلى خلايا المناعة التي لمفوسايت.
طبقات البشرة

إن بشرة الجلد هي بشرة مطبقة رصفية متقرنة تنتظم خلاياها من القاعدة وحتى السطح في خمس طبقات هي كالتالي:
الطبقة القاعدية
هي (Stratum germinativum == stratum basale ==basal cell layer) وهي طبقة واحدة من الخلايا الطويلة التي تستقر على غشاء قاعدي basement membrane. حوالي ربع الخلايا هي من الخلايا الملونة melanocytes وهي تحتوي على صبغة الميلانين وتنتجها، وهذه هي صبغة الجلد والشعر. هناك حالة تدعى المهق (Albinism) وهي صفة وراثية متنحية تكون فيها الخلايا عاجزة عن إنتاج الملانين. يكون المصاب فاتح اللون جدا وقزحية عينيه أيضا تفتقر إلى الصبغة، وقد يكون لونها أزرق. ويكوم حساس للضوء والشمس.
الطبقة الشائكة
الطبقة الشائكة (Stratum spinosum) وهي الطبقة الثانية في طبقات خلايا الجلد : هذه الطبقة مكونة من طبقات من خلايا الجلد المكعبة. تتصل الخلايا ببعضها بواسطة مناطق اتصال بين كل خلية وأخرى اسمها desmosomes, لذلك يصبح شكل الخلايا مثل الشوكي إذا اخذتها وصبغتها ولهذا تسمى بالطبقة الشوكية. كلما صعدت إلى أعلى كلما زاد تلون انوية الخلايا وتسمى هذه الصفة pyknosis وهي أول علامة على بدا موت الخلايا. والسبب هو ان الغذاء والماء يصل هذه الخلايا بطريقة الانتشار من الطبقة الاسفل منها فكلما تكونت خلايا جديدة دفعت التي فوقها إلى أعلى فيقل على الخلايا التي فوق الماء والغذاء فتستعمل ما كانت تخزنه. الخلايا التي في هذه الطبقة تصنع الياف intermediate filaments اسمها الكيراتين keratin وهي تشد الخلايا ببعضها وتساعد الخلايا على البقاء متماسكة.
الطبقة الحبيبية
الطبقة الحبيبية (Stratum granulosum) توجد هذه الطبقة في الجلد السميك مثلا راحة اليد لكنها تكون رقيقة إذا كان الجلد رقيق. تكون الخلايا شكها حرشفي squamous وتكون طبقة إلى 3 طبقات، وفيها حبيبات تنصبغ بالصبغة القاعدية basophilic granules وهي keratohyalin granules وهي لا ترتبط بالغشاء. هناك حبيبات تلتصق بغشاء الخلية وتحتوي على حبيبات دهنية مما يمنع الماء من الدخول من الخارج إلى داخل الجسم. لكنها أيضا تمنع الغذاء من الوصول إلى الخلايا ولهذا تموت الخلايا في الطبقة التي تكون فوق هذه الطبقة.
الطبقة الشفافة
الطبقة الشفافة (Stratum lucidum) معناها في اللاتيني الطبقة الشفافة. وهي طبقة رقيقة من الخلايا الميتة وتبدو شفافة تحت المكرسكوب. تحتوي على مادة شفافة اسمها eleidin والتي تتحول إلى الكيراتين. هذه الطبقة موجودة في جلد راحة اليد وجلد راحة القدم فقط. وهي تحتوي على مادة دهنية ولهذا تمنع الماء من الدخول إلى الجلد.
الطبقة القرنية
الطبقة القرنية Stratum corneum "horny layer" وهي الطبقة الخارجية من الجلد وهي متكونة من طبقات من الخلايا الميتة التي لا توجد فيها انوية. كلما سقطت الخلايا الميتة كلما تحددت من الداخل بخلايا أخرى تصنعها الطبقة القاعدية. وهذه الخلايا تحتوي على الكيراتين وهي بروتين يمنع تبخر الماء من الجلد فيساعد على ان يبقى الجلد رطبا. وتستطيع الخلايا ان تمتص الماء أيضا فتبقى الجلد رطبا. ولهذا نرى الجلد يكرمش على اصابع القدم واليد حين تبقى لفترة طويلة في الماء. هذه الطبقة تكون اثخن في الأماكن التي تتعرض للاستعمال والتلف مثل اليد والقدم. بشكل عام توجد 15-20 طبقة من الخلايا في هذه الطبقة.
الأهمية السريرية
الشواك
الشواك أو الأقنئة acanthosis)، هي كلمة يستخدمها علماء الأمراض لوصف عدد متزايد من الخلايا الحرشفية المتخصصة في الجلد. يمكن أيضًا رؤية تغيير مماثل في داخل الفم. إنه تغيير شائع غير سرطاني يمكن أن يحدث في أي مكان في الجسم حيث توجد الخلايا الحرشفية بشكل طبيعي.[1]
يسمى سطح الجلد البشرة. تتكون البشرة في الغالب من خلايا متخصصة تسمى الخلايا الحرشفية . يختلف السماكة الطبيعية للبشرة في جميع أنحاء الجسم.
يستخدم علماء الأمراض كلمة الأقنثة عندما تبدو البشرة أكثر سمكًا من المعتاد في تلك المنطقة من الجسم. إنه مصطلح وصفي لما يُرى تحت المجهر وليس تشخيصًا على الرغم من استخدامه غالبًا للمساعدة في إجراء التشخيص.
عند استخدامه بمفرده، يختلف الشواك عن تشخيص الشواك الأسود الذي يشير إلى سماكة مخملية للجلد عند فحصه بدون مجهر. لا يظهر سماكة البشرة عند فحصها تحت المجهر.
والخلايا الحرشفية تعطي الجلد قوته وشواك وغالباً ما يكون استجابة لتهيج مستمر ومزمن في الجلد.
تشمل الشروط الشائعة المرتبطة بهذا التغيير ما يلي:
- الأكزيما
- الصدفية
- الصدمة الناتجة عن الاحتكاك والحكة وخدش الجلد
- أنواع معينة من الشامات
- الورم الليفي الجلدي
- الثآليل الشائعة
أمراض
معرض الصور
-
Epidermis and dermis of human skin
-
Cross-section of all skin layers
-
Optical coherence tomography of fingertip