ملف:Chordoma.JPG

الملف الأصلي(654 × 638 بكسل حجم الملف: 43 كيلوبايت، نوع MIME: image/jpeg)

وصف قصير

قالب:Case images

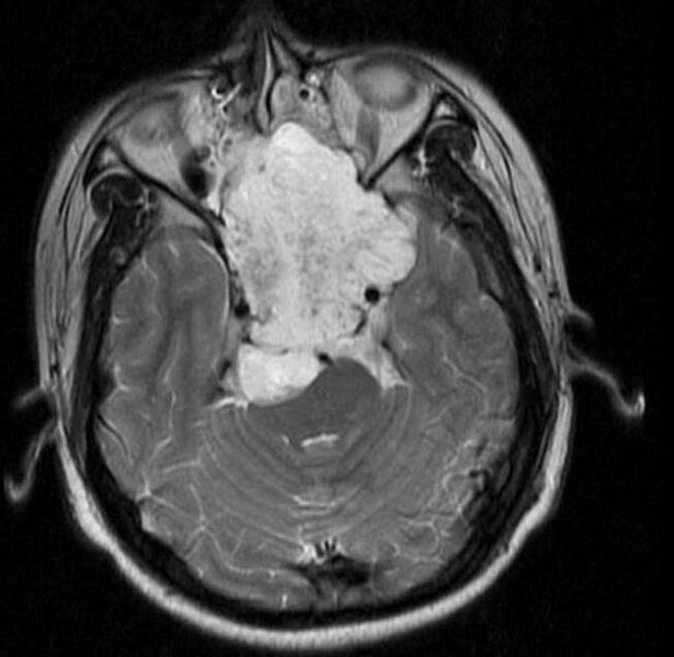
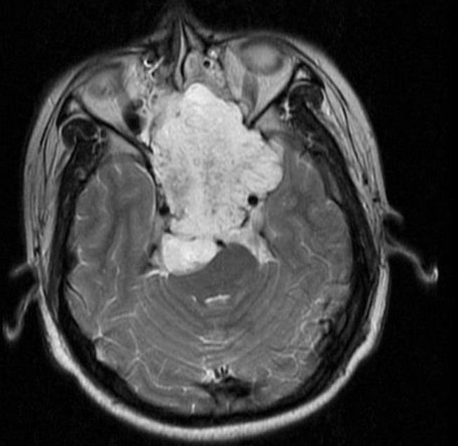
Description MRI of extensive clival chordoma in 17-year old male patient, axial view. Tumor in the nasopharynx extending from nasal cavity to brainstem posteriorly is clearly visible.
Date 2008-02-23
Source Hassan S, Abdullah JM, Wan Din SJ, Idris Z. Combined use of maxillomandibular swing approach and neurosurgical ultrasonic aspirator in the management of extensive clival chordoma: a case report. Journal of Medical Case Reports. 2, 49. 2008. doi:10.1186/1752-1947-2-49. PMID 18279530.
Author Hassan S, Abdullah JM, Wan Din SJ, Idris Z
⧼wm-license-information-permission⧽
(⧼wm-license-information-permission-reusing-text⧽)
BioMedCentral licence

ترخيص

Creative Commons License
Creative Commons Attribution icon
هذه الصورة قد تم إصدارها تحت رخصة التشارك الإبداعي

Creative Commons Attribution License v.2.0

لا تسمح هذه الرخصة باستعمال الصورة من دون ذكر منتجها.

تاريخ الملف

اضغط على زمن/تاريخ لرؤية الملف كما بدا في هذا الزمن.

زمن/تاريخصورة مصغرةالأبعادمستخدمتعليق
حالي ★ مراجعة معتمدة
14:44، 22 يناير 2024
تصغير للنسخة بتاريخ 14:44، 22 يناير 2024654 × 638 (43 كيلوبايت)Pastakhov (نقاش | مساهمات)Upload https://upload.wikimedia.org/wikipedia/commons/2/2b/Chordoma.JPG

لا يوجد صفحات تصل لهذه الصورة.