متلازمة كلوية

(تم التحويل من المتلازمة الكلوية)
المتلازمة الكلوية
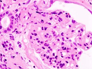
Diabetic glomerulosclerosis (1) HE.jpg
Histopathological image of diabetic glomerulosclerosis the main cause of nephrotic syndrome in adults. H&E stain.
التبويب والمصادر الخارجية
التخصصطب الكلى
ICD-10N04.
ICD-9-CM581.9
DiseasesDB8905
MedlinePlus000490
eMedicinemed/1612 ped/1564
Patient UK

فشل عرض الخاصية P1461: لم يتم العثور على الخاصية P1461.

متلازمة كلوية
MeSHD009404

المتلازمة الكلوية وتسمى أيضا متلازمة نفروزي أو المتلازمة الكلائية أو التناذر النفروزي Nephrotic syndrome، هي اضطراب كلوي يشير لمجموعة أعراض مرضية: البيلة الپروتينية، نقص ألبومين الدم، والاستسقاء.[1] وتتميز بزيادة نفاذية جدران الشعيرات الدموية في الكبيبة مما يؤدي إلى وجود ارتفاع مستويات الپروتين المار من الدم إلى البول (البيلة الپروتينية على الأقل 3.5 گرام/يومياً لكل 1.73م2 مساحة سطح الجسم);[2] ( > 40 ملگ لكل م² من مساحة سطح الجسم في الساعة) مستويات منخفضة من الپروتين (نقص پروتينية الدم أو نقص ألبومين الدمالاستسقاء البطني وفي بعض الحالات الاستسقاء؛ ارتفاع الكولسترول (فرط دهون الدم) والاستعداد للإصابة بتجلط الدم.

وهذا الإضطراب فد يصيب الكبار وغالباً الصغار في الفئة العمرية بين 2-6 سنوات. والجدير بالذكر أن سبب حدوث ذلك هو تلف الأوعية الدموية الصغيرة في الكليتين المسؤولة عن ترشيح الفضلات والماء من الدم ويحدث إختلال في دهنيات الدم كذلك تتغير نسب البروتين في البول والدم.

الأعراض والعلامات

عادة ما تترافق المتلازمة الكلوية بالاحتفاظ بالماء والصوديوم. تتراوح درجة هذا الاحتفاظ بين الاستسقاء البسيط في الجفون الذي يتزايد أثناء اليوم، إلى التأثير على الجذع السفلي، إلى التورم العام، إلى الاستسقاء العام..[3]

تضمن أعراض المرض الآتي:

  • تورم الجسم خاصة حول العين، الكاحل، و القدم
  • تورم حول العين
  • تورم الكاحل والقدم
  • فقدان الشهية
  • القيء
  • زيادة الوزن نتيجة احتباس السوائل بالجسم
  • وجود رغاوي بالبول

الفسيولوجيا المرضية

رسم للكبيبات البولية.

تعمل الكبيبات الكلوية على ترشيح الدم والحفاظ على التركيز الطبيعي للزلال في الدم المرتبط باتزان السوائل في الجسم وبتلف هذه الكبيبات يُطرح البروتين بكميات كبيرة في البول مُتسبباً بالمتلازمة الكلوية.

الأسباب والتصنيف

Histological image of a normal kidney glomerulus. It is possible to see a glomerulus in the centre of the image surrounded by renal tubules.
Diabetic glomerulonephritis in a patient with nephrotic syndrome.

من الأسباب المعروفة والتي قد تؤدي للإصابة بالمتلازمة الكلوية:

التصنيف

وتُصنف المتلازمة الكلوية الي قسمين تبعاً لسبب الحدوث:

  • الأولي: يحدث مباشرة بسبب إعتلال النسيج الكلوي وإختلال وظائف الكلية.
  • الثانوي: بسبب مرض آخر في الجسم كالسكري مثلا والذي بدوره أثر على الكلية ووظائفها.[4]

التشخيص

Urinalysis will be able to detect high levels of proteins and occasionally microscopic haematuria.

يتم تأكيد تشخيص المرض من خلال بعض التحاليل والفحوصات، وتتضمن الآتي:

  • اختبار البول: يظهر في تحليل البول وجود كمية كبيرة من البروتين. و قد تظهر أيضا دهون بالبول.
  • فحوصات الدم: قد يظهر انخفاض مستوى بروتينات الدم و خاصة الألبومين. و قد يؤدي فقدان بروتين الدم إلى ارتفاع الكولستيرول بالدم. و قد يتم أيضا قياس مستوى الكرياتينين واليوريا بالدم لتقييم وظيفة الكلى.
  • فحص عينة من الكلى: قد يتم اللجوء إلى أخذ عينة من الكلى لتأكيد تشخيص سبب الإصابة بالمرض. يتم استخدام إبرة خاصة لأخذ عينة صغيرة من الكلى و فحصها تحت الميكروسكوب. و تتم باستخدام تخدير موضعي.

التصنيف

Nephrotic
syndrome
PrimarySecondary

التصنيف التاريخي:

Nephrotic syndrome
MCDFSGSMNMPGN


المضاعفات

تتمثل المضاعفات التي يمكن أن تحدث نتيجة المتلازمة المرضية الكلوية الآتي:

  • جلطات الدم: عدم قدرة الكبيبات على ترشيح الدم بالطريقة الصحيحة قد يؤدي إلى فقدان بعض بروتينات الدم التي تمنع تكون الجلطات. مما يؤدي إلى زيادة خطورة إصابة المريض بجلطات بالأوردة.
  • ارتفاع مستوى الكولسترول بالدم: نتيجة انخفاض مستوى الألبومين بالدم يقوم الكبد بإنتاج كمية أكبر من الألبومين مما يؤدي إلى إفراز الكبد لكمية أكبر من الكولستيرول.
  • فقدان الوزن: قد يؤدي فقدان كمية كبيرة من بروتينات الدم إلى الإصابة بسوء التغذية و فقدان الوزن. لكن قد لا يتم ملاحظة نقص الوزن بسبب احتباس السوائل و تورم الجسم.
  • ارتفاع ضغط الدم.
  • الفشل الكلوي الحاد.
  • الفشل الكلوي المزمن.
  • زيادة خطورة التعرض للعدوى مثل الالتهاب الرئوي.


العلاج

يجب على المريض تغيير عاداته الغذائية بعض الشيء مثال ذلك:[5]

  • الحد من تناول الأملاح لتقليل احتباس السوائل بالجسم وخفض ضغط الدم.
  • الإقلال من الأطعمة التي تؤدي إلى ارتفاع مستوى الكولسترول بالدم.
  • تناول فيتامين د.
  • ويتضمن علاج المتلازمة المرضية الكلوية علاج السبب المؤدي للإصابة بها.

بالإضافة لذلك يتم تناول بعض الأدوية وهي:

  • angiotensin II receptor blocker: تقلل من كمية البروتين المفقود بالبول، و تمنع تطور حالة المرض إلى الأسوأ.
  • الأدوية المدرة للبول Diuretics: تستخدم لزيادة إخراج الكلى للماء و الصوديوم بالجسم وبالتالي تقليل التورم الناتج عن احتباس تلك السوائل.
  • أدوية مضادة للتجلط anticoagulants: مثل الهيبارين heparin أو الورفرين warfarin حيث تقلل من خطورة تكون الجلطات الدموية.
  • أدوية مثبطة للمناعة Immunosuppressive medications: مثل الكورتيزون.
  • المضادات الحيوية Antibiotics: للتحكم في العدوى.

الأدوية المتعلقة

  • (Hydrochlorothiazide) هيدروكلوروثيزايد
  • (Indapamide) اندابميد
  • (Bumetanide) بوميتانيد
  • (Torsemide) تورسيميد
  • (Spironolactone) سبيرونولاكتون
  • (Cyclophosphamide) سيكلوفوسفاميد
  • (Prednisolone) بريدنيزولون
  • (Prednisone) بريدنيزون
  • (Triamcinolone) تريامسينولون
  • (Dexamethasone) ديكساميثازون

التعايش مع المرض

يفضل اتباع التعليمات التالية للتخفيف والتعايش مع المرض:

  • تناول طعام قليل الأملاح.
  • تناول طعام قليل البروتين بمعدل گرام واحد لكل كيلو گرام من وزن المصاب.
  • تقليل الطعام الدهني قدر الإمكان.
  • تناول فيتامين د قد يساعد في تقليل حدة الأعراض والمحافظه على النسيج العظمي.
  • الابتعاد عن التوتر.
  • تقليل الوزن الزائد.
  • اتباع ارشادات الطبيب والتعليمات الصحية.
  • الإقلاع عن التدخين.
  • الإمتناع عن شرب الكحول.
  • شرب كميات كافية من السوائل بمعدل 6 أكواب يومياً.

علم الأوبئة

المآل/التكهن

يعد مآل الشفاء من هذا المرض معتمدا على مدة تقدم المرحلة المرضية وسن المصاب ووضعه الصحي وعاده ما يكون المرض مزمن ويهدد حياة المصاب.

انظر أيضاً

المصادر

  1. ^ http://wordnetweb.princeton.edu/perl/webwn?s=nephrotic%20syndrome
  2. ^ "ELECTRONIC LEARNING MODULE for KIDNEY and URINARY TRACT DISEASES". Retrieved 2008-11-26.
  3. ^ Behrman, Richard E.; Robert M Kliegman; Hal B. Jenson (2008). Nelson Tratado de Pediatria (in Spanish). Elsevier, España. p. 1755. ISBN 8481747475. {{cite book}}: Cite has empty unknown parameter: |cite= (help)CS1 maint: unrecognized language (link)
  4. ^ متلازمة كلوية، الطبي
  5. ^ المتلازمة الكلوية، صحة

وصلات خارجية